“立竿见影”——大容量肺泡灌洗术治疗肺泡蛋白沉积症
来源:蒋军红 发布时间:2021-05-18 22:06:00 浏览次数:5724

  近日,苏州市独墅湖医院(苏州大学附属独墅湖医院)呼吸与危重症医学科收治了一位由外院转诊的患者,经外院诊断患有“肺泡蛋白沉积症”。患者的主要症状表现为稍活动即感胸闷、气喘,严重影响其生活质量,且这种情况已长达3年之久。此前,患者及家属就了解到该病十分罕见,目前也无治愈的方法,所幸患者在焦虑的同时并未放弃寻求治疗的机会。几经周转,多方打听到蒋军红主任带领的苏州市独墅湖医院呼吸与危重症医学科具备“大容量全肺灌洗”技术。患者及家属慕名而来,寻求治疗。

  患者入院后,蒋军红主任及其团队成员为患者进行多方位病情评估。考虑到患者静息状态氧分压只有50.7mmHg,要想改善其缺氧情况,大容量肺泡灌洗治疗是目前最佳治疗手段,但是这种手术需要强大的麻醉技术支持。为了确保手术成功,手术前就治疗方法举行了相关科室全院大会诊,并邀请长海医院张伟主任一起制定了周密的手术方案。

  在医院多学科和张伟主任的鼎力支持下,蒋军红主任团队顺利完成了双肺同时大容量全肺灌洗术。手术期间为患者行右肺肺泡灌洗,总计进45000mL温生理盐水,直至液体清澈,共回收41741肺泡灌洗液,回收率为92.8%,后转为呼吸机双肺通气,保持生命体征平稳;再行左肺肺泡灌洗温生理盐水45000mL,直至回收液体清澈,共回收43551mL肺泡灌洗液,回收率为96.8%。手术历时5个小时圆满结束。患者后转至我院重症医学科,进行围手术期治疗。现患者已恢复出院,步行回家。经过此次成功的手术治疗,患者向医护人员连连称谢,并感叹“就像‘换’了肺一样”。

患者右肺和左肺灌洗回收液逐渐由“黄白色”浑浊液体转为清澈

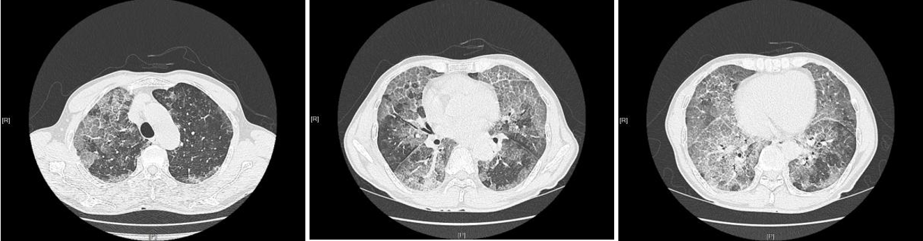
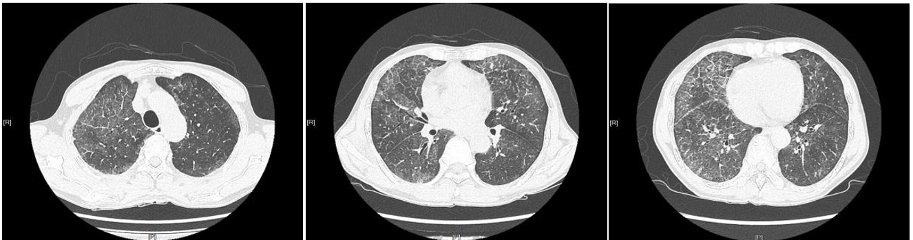
(左图:右1-5和左1-5

治疗前胸部CT:两肺多发磨玻璃阴影,典型的铺路石症

治疗后两肺渗出阴影明显吸收

  国内外应用全肺灌洗术治疗肺泡蛋白沉积症的尝试很少,但是蒋军红主任带领的苏州市独墅湖医院呼吸与危重症医学科成功开展了首例大容量全肺灌洗术,填补了医院在该病诊治领域的空白。为需要此类技术的患者带来福音,也标志着苏州市独墅湖医院多学科诊疗水平迈上了新台阶。

患者行全肺灌洗术后不吸氧状态下氧分压较术前明显改善

  肺泡蛋白沉积症(pulmonary alveolar proteinosis, PAP),是以肺泡表面活性物质在肺内异常积聚和肺泡巨噬细胞功能紊乱为特征的间质性肺病。可形象地理解为肺部布满了“蛋白”,进而影响患者的呼吸功能。可能的病因:90%以上肺泡蛋白沉积症患者的发病与自身免疫性因素相关,其特征为体内存在的抗粒细胞——巨噬细胞集落刺激因子(GM-CSF)自身抗体,从而导致肺泡巨噬细胞对表面活性物质的清除障碍;其次,长期接触有害毒物或灰尘、血液系统肿瘤和一些感染等也会导致肺泡蛋白沉积症;而基因突变所致的肺泡蛋白沉积症,即先天性原因所致的肺泡蛋白沉积症较为罕见。临床表现:10%-30%的患者无明显症状,往往由胸部影像学检查时发现。常见的症状为胸闷、气短、咳嗽、咳痰、胸痛和发热等,严重可引起呼衰,甚至死亡。有研究表明全肺灌洗术是目前治疗肺泡蛋白沉积症最可靠、有效的手段,即通过冲洗清除肺泡表面的活性物质,以达到缓解患者症状的目的。

  大容量肺泡灌洗可用于治疗包括尘肺、肺泡蛋白沉积症、支气管扩张、难治性肺炎、吸入性肺炎和黏液粘稠症等疾病。相比于普通的肺泡灌洗,即经支气管镜小容量肺泡灌洗,大容量肺泡灌洗需要在全麻下进行,过程更为复杂,技术难度更高,但能够更加有效地“清洗”肺部,达到去除患者病因以及显著改善患者呼吸功能的目的。若为感染性疾病,经大容量肺泡灌洗引流的液体的细菌学培养则更加准确,能够更有效地指导治疗。