近日,七十多岁的胡大爷因“反复头晕两个多月”来我院就诊。7月23日,外院查颈动脉超声提示:左侧颈内动脉颅内段极重度狭窄,双侧颈动脉内膜增厚伴多发易损斑块形成。住院当天,患者突发“言语不清,右侧肢体无力”,我院神经内科紧急会诊后考虑 “急性脑卒中”,并作进一步治疗。
神经内科董万利主任带领团队对胡大爷的病情进行了分析评估。患者头颅磁共振发现左侧大脑中动脉供血区多发脑梗死,CTA+CTP检查提示:左侧颈内动脉颅内段混合斑块,管腔中-重度狭窄,最狭窄处接近闭塞;左侧大脑中动脉供血区缺血性灌注异常。诊断为:“脑梗死,左侧颈内动脉颅内段次全闭塞”。

神经内科郝永岗副主任医师与神经血管介入团队充分讨论患者病情,完善术前相关检查及药物准备,排除禁忌症,决定为患者实施经皮左颈内动脉颅内段球囊扩张成形术。9月8日,我院神经血管介入团队在MRI-DSA杂交手术室于局部麻醉下为患者实施手术,历时70分钟,成功扩张成形病变血管,使脑血流明显改善,挽救了处于缺血状态的神经细胞,避免了梗死核心进一步扩大。术后经过神经内科及康复医学科联合积极治疗,胡大爷右侧肢体肌力明显增强。
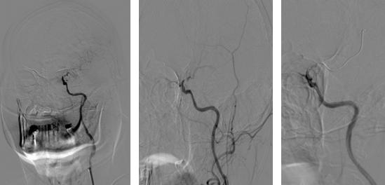
(术前造影左侧颈内动脉C6段次全闭塞血流缓慢)
(血管成形术后造影:狭窄解除,血流明显改善)

(我院MRI-DSA杂交手术室)
颈内动脉颅内段次全闭塞血管成形手术的成功实施,标志着我院脑卒中诊治水平迈向了一个新台阶,这与我院先进的医疗设备密不可分。随着医学知识的普及,百姓对核磁共振(MRI)、数字减影血管造影(DSA)等设备已不再陌生。先进的DSA可进行术中3D造影重建及快速术中CT扫描,当需要术中MRI成像时,可使用具备多角度复杂摆位功能的移动手术床,迅速将患者精确卡位至MRI,为重症患者争取到宝贵的抢救时间,挽救患者的生命。