“凶险性前置胎盘”是产妇分娩时的一种危险状况,其危险性在于产妇在分娩过程中的出血量在3000-10000ml,平均出血量在5000ml,往往无法控制,且约50%的患者需要切除子宫来挽救生命,这也是“凶险性前置胎盘”的得名原因。
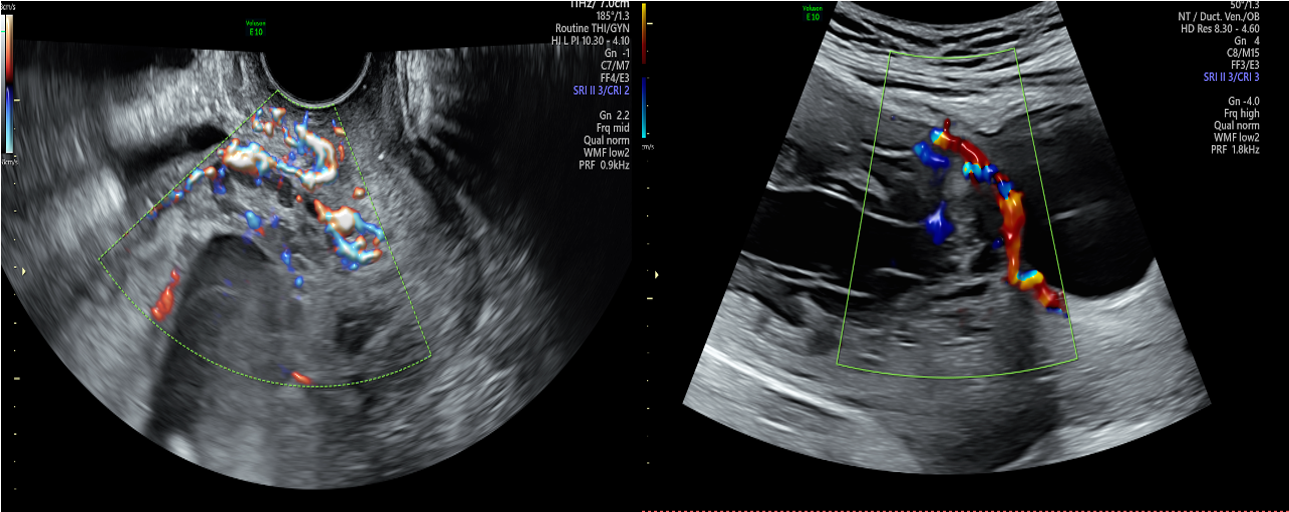
小彭在怀孕早期查B超就提示疤痕部位妊娠可能,医生向患者及家属告知相关风险,但患者及家属继续妊娠意愿强烈。孕14周胎盘完全形成,结合B超结果(胎盘附着在子宫前壁等)和前次剖宫产病史,判断为凶险性前置胎盘(图1)。此时小彭面临困境在于无论是选择终止妊娠还是继续妊娠,出血、切子宫的风险都很大,甚至有危及生命的可能:若选择终止妊娠,可能因出血切除子宫导致无法生育;若选择继续妊娠,分娩时面临的风险同样是大出血切子宫,但能保住孩子,最后经过患者及家属商量后,决定承担风险,继续妊娠。
图1
小彭在孕32+5周时,外院磁共振检查却提示未见胎盘植入,但B超始终提示胎盘内见数个液性回声,前壁峡部肌层内血流信号丰富,磁共振与超声的检查结果似乎不一致,患者及家属辗转苏州多家医院咨询相关风险,一路奔波,最后来到我院找到妇产科张跃明主任。张主任仔细阅读磁共振片子(图2),发现胎盘虽未完全覆盖宫颈内口,但整个胎盘位于子宫下段前壁及前次剖宫产疤痕处,子宫下段前壁肌层缺如,认为此例凶险性前置胎盘情况不可小觑。随后通过B超检查行胎盘植入评分为5分(≤5分为轻度),如果按胎盘植入分判断,可期待至37周终止妊娠即可,所需输血量较少,且无需其他学科参加。但张跃明主任凭借多年丰富的临床经验,结合磁共振图像及B超评价,认为情况远不如看上去一般轻松。目前产妇已孕36+4周,不能继续再期待,应立即收入院。
入院后即刻为其制定诊疗方案,向患者及家属交代手术风险,患者及家属不理解“为什么别的医院医师说问题不严重,怎么到了独墅湖医院妇产科问题就变得这么严重?”,医生读片后向产妇解释,她意识到了问题的严重性。由于小彭及家属要求保留子宫的意愿非常强烈,同意启动互助献血方案,后患者及家属积极配合,寻求了30个人互助献血,备足血源,随即启动多学科会诊(MDT),妇产科、麻醉科、介入科、儿科、泌尿外科、重症ICU、超声科、影像科、输血科等兄弟科室通力合作,共商手术相关风险及应对方案。
影像科及超声科医师先读片,张跃明主任分析该患者病情,提出手术过程中可能存在的风险及各科室需要做的工作。每个科室都提出自己独到见解及相关工作准备情况:输血科保证血源充足;介入科术前行髂内动脉预置管,必要时术中暂时栓塞阻断子宫血供;麻醉科术前留置动静脉导管以便监测生命体征及快速扩容输血抢救休克;泌尿外科随时待命台上会诊;ICU留床保障术后康复;儿科做好新生儿窒息复苏准备……

图2
图3
图4
在兄弟科室支持下,张跃明主任决定把手术安排在我院最先进的复合手术室进行。经过充分的术前准备,手术室所有工作有条不紊地进行中(图3)。随着局麻髂内动脉置管成功……全麻成功……手术开始……很快进腹,探查见胎盘位于子宫下段前壁,胎盘植入穿透肌层达浆膜层,前壁肌层缺如,表面血管怒张,无法从子宫下段做切口娩出胎儿,向上延长切口,避开胎盘及怒张血管(图4),在宫体部做切口快速娩出一2.5kg的女婴。切口下缘近胎盘部位血窦破裂开放,血流如泉涌,瞬间血压降至70/40mmHg,心率飙升至125次/分。麻醉科侯永恒副主任立即予以加压快速输血输液;张跃明主任快速予以宫腔内棉垫填塞压迫,子宫下段压脉带捆绑压迫止血;介入与血管外科程龙副主任医师立即启动子宫动脉栓塞。因子宫浆膜面血管丰富,缺乏肌层,创面广泛出血渗血严重,张跃明主任快速剥离剪除植入胎盘组织、下推膀胱至宫颈外口、螺旋形缝合宫颈塑型、压迫止血……经过3小时的紧张操作,最终成功控制住了出血,保住了子宫。术中出血5000ml、术中共输血3400ml(图5),术后生命体征平稳,转中心ICU进一步康复治疗。

图5
看到母女平安,子宫也保住了,小彭全家悬着的心终于落地了,他们感谢张跃明主任为其所做的积极治疗(图6),感恩妇产科、麻醉科、介入科等临床科室的积极配合,同时感谢独墅湖医院为其提供的一路好“孕”。

图6
最后,张跃明主任提醒广大孕妈妈,随着二胎三胎生育政策放开,凶险性前置胎盘的预防在于控制初次妊娠分娩剖宫产率,孕期准妈妈要合理膳食,尤其要控制含糖量高的食物如葡萄、面食、米饭等摄入,孕期要控制体重增长,让胎儿体重控制在合理区间,不可要求开无指征剖宫产。

张跃明主任简介:主任医师,医学博士,从事妇产科临床、教学和科研工作20余年,曾任苏州大学附属第一医院产科主任,现任苏州市独墅湖医院妇产科主任,2008年中山医科大学附属第一医院进修妇科腔镜;2013年美国Cleveland Clinic访问学习妇科微创手术。2012-2014年赴南美圭亚那执行为期两年的援外任务,受聘担任圭亚那首都乔治敦医院妇产科主任,开创援外医疗队先河。对于复发性流产、有复杂合并症的妊娠、产科危重症等产科疾病有其独特见解及诊疗方案;擅长不孕不育、子宫肌瘤、卵巢囊肿、子宫内膜异位症、子宫脱垂、妇科内分泌疾病、卵巢癌、宫颈癌、子宫内膜癌等妇科疾病,尤其擅长阴式手术、微创妇科肿瘤手术。