头痛持续不缓解?原是脑膜长成了“盔甲” ——我院完成一例耳源性肥厚性硬脑膜炎治疗
来源:王瑞 发布时间:2022-05-17 16:50:00 浏览次数:5917
  头痛绝对是令人“头痛”的问题,很多人感冒了会头疼,没睡好会头疼,压力大了会头疼,来月经了会头疼……头痛很常见,但也很复杂,国际头痛疾病分类(ICHD)定义了150多种不同类型的头痛,今天给大家介绍一种比较少见的头痛类型。
  75岁的刘先生在六月前有双侧化脓性中耳炎,曾行右侧鼓膜穿刺治疗,目前仍有耳鸣、耳闷感,伴双耳听力下降。3月前,开始出现头痛症状,前额部、双侧颞部的持续性胀痛,尤其夜间的时候头痛剧烈,影响睡眠,多次于当地医院诊治无明显好转,遂至苏州大学附属独墅湖医院就诊。
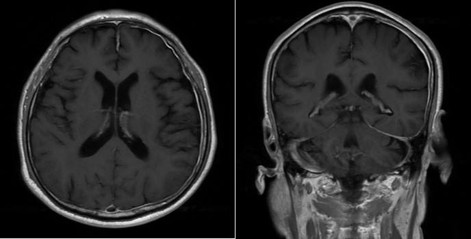
  来到我院后,完善实验室检查和腰穿脑脊液检查,提示中枢神经系统感染。进一步完善头颅MRI平扫+增强,左侧额顶颞枕部、小脑幕、部分大脑镰硬脑膜弥漫性强化。诊断为1.肥厚性硬脑膜炎2.中枢神经系统感染3.双侧中耳乳突炎。
      
(磁共振上可以见到刘先生的硬脑膜增厚如同脑组织穿了“盔甲”一般)
  刘先生在发病前有双侧化脓性中耳炎病史,后慢性头痛不缓解,分析可能与邻近感染累及硬脑膜,逐渐形成一侧肉芽肿性脑膜炎相关。
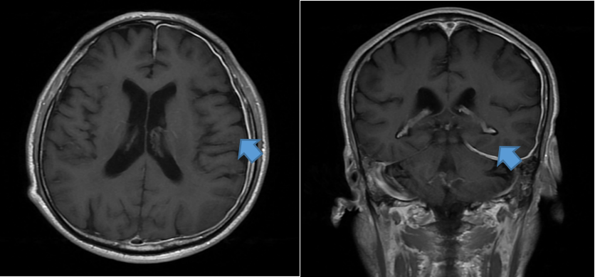
  找到折磨刘先生的“元凶”后,予以激素冲击以及抗感染等治疗,刘先生的头痛很快得到明显缓解,激素递减后联合免疫抑制治疗,出院时刘先生的头痛已完全缓解。
       
(3月后,复查头颅增强MRI提示脑膜增厚较前好转)
  那么刘先生得的这究竟是一种什么病呢?其实,这种病症学名叫做——肥厚性硬脑膜炎(HCP),是一种少见的以硬脑膜和(或)硬脊膜局限性或弥漫性增厚为特征的慢性炎性纤维增生性疾病,依病因可分为特发性和继发性两类。特发性硬脑膜炎占大多数,多数认为是一种自身免疫病;继发性病因多样,包括感染(结核、细菌、真菌、莱姆菌、梅毒、T细胞淋巴性病毒)、自身免疫病(肉芽肿性血管炎、类风湿性关节炎、SLE、巨细胞性动脉炎、混合结缔组织病等)、肿瘤(硬膜癌、淋巴瘤、斑块形脑膜瘤)、外伤等。HCP主要症状表现为头痛、颅神经麻痹。典型MR表现是脑膜增厚,增强后增生的硬脑膜呈条带状均匀强化。
  多数学者主张大剂量糖皮质激素冲击治疗后逐渐减量至小剂量维持治疗,免疫抑制剂往往与激素联合应用;对于反复复发、药物无效果、神经功能缺失严重、症状逐渐进展者,需要行外科手术治疗,术后辅助应用激素和免疫抑制剂,大多病人症状可以得到改善。
  头痛无小事,对于顽固性头痛、突发的急剧头痛、伴有其他症状的头痛等等需要引起我们足够的重视,做到及时就医,大病早防治!