中国有个成语叫做“谈虎色变”,而如今慢慢演变成“谈癌色变”,可见癌症对人们的威胁日益显著。目前针对恶性肿瘤最有效的方法是手术治疗,此外还有放化疗、靶向免疫治疗及中医中药治疗等。但不管怎样,早发现、早诊断、早治疗是恶性肿瘤治疗的关键。
73岁的戴先生最近发现小便颜色发黄,于是到当地医院住院检查。血检结果显示他的血、尿淀粉酶明显增高,胆红素轻度增高,腹部CT及磁共振检查提示胆管扩张及胰管轻度扩张。常规而言,血、尿淀粉酶升高多见于胰腺炎,于是当地医院先给予了消炎对症治疗,戴先生的症状虽有好转,但仍未能恢复正常。
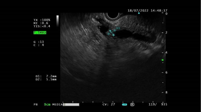
随后戴先生经多方打听,找到了我院肝胆胰外科专家卢杏生主任。主任经过详细了解病情后决定复查增强MRI检查,仍然未能明确是否存在肿瘤可能。但胰管轻微扩张是早期壶腹周围肿瘤(包括胆管癌、胰腺癌、壶腹部癌)的间接征象,不能轻易忽视。在请我院消化科蒋彩凤主任会诊后,决定给戴先生进行超声内镜检查。超声内镜是将内镜和超声相结合的消化道检查技术,超声探头可紧贴胃壁或十二指肠壁进行扫描,与胰腺、胆道仅一壁之隔,可清晰的显示全部胰腺组织、胆管全长及胆囊,对于发现胰腺、胆管末端或十二指肠乳头部的微小肿瘤有不可替代的作用。最终蒋彩凤主任通过超声内镜发现壶腹部一个直径约0.5cm肿瘤,至此终于明确了戴先生的诊断为壶腹部肿瘤,随即制定治疗方案。

(术前超声内镜)
目前壶腹部肿瘤的标准术式是胰十二指肠根治性切除术,该手术为普外科难度最大的手术之一,由于肿瘤位置毗邻腹腔内大血管,在此区域的手术需要慎之又慎,除了要完整切除肿瘤外,还需要进行消化道的改道重建,手术难度可想而知。卢杏生主任克服困难,运用精湛的技术,保证了手术的顺利结束,术中出血不到50ml。戴先生术后恢复良好,无任何并发症出现,术后10天顺利出院。最后病理结果显示为早期的十二指肠乳头胰胆管型腺癌,浸润十二指肠肌层,无淋巴结转移。至此戴先生获得一个圆满的结果。
卢杏生主任表示,戴先生的肿瘤是临床比较少见的一个恶性肿瘤,但是由于发现早、治疗早,应该能获得一个比较好的预后。预防恶性肿瘤除了保持良好生活习惯,避免接触诱癌因素,早发现、早诊断、早治疗才是最有效的武器。

(患者顺利出院)