心肌炎是因心肌局限性或弥漫性的炎性病变而主要表现的疾病,好发于夏季,常由病毒感染或病毒感染后的免疫反应导致。其表现多样化,轻则无症状,重可出现严重心律失常、急性心功能不全、心源性休克甚至死亡。而暴发性心肌炎是心肌炎中程度最重、进展最迅速的类型,其死亡率高于50%。
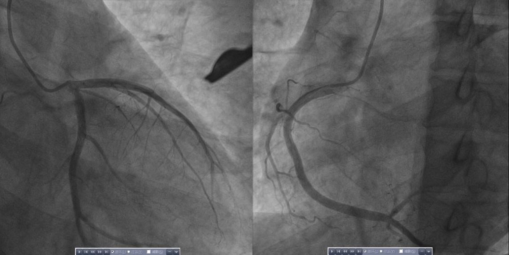
今年49岁的张先生,几日前自觉“上火”,虽有眼干、流涕,伴乏力等症状,但起初并未在意,几日来症状并无好转,且出现了进行性加重的胸闷气促。8月1日,患者自觉“熬不住了”,遂在家属陪同下前往苏州大学附属独墅湖医院急诊就诊。医生接诊后,发现患者面色苍白,气促明显,精神萎靡,呈休克状态,且心电图提示胸前导联广泛ST段弓背向上抬高、三度房室传导阻滞等。心内科医生急会诊后,结合查体及检验,初步判断为急性心肌梗死/心肌炎,并迅速启动急诊冠脉造影。术中患者胸闷气促明显,提示存在严重左心衰。然而造影显示冠脉无明显狭窄,结合患者病史及检查,初步诊断为急性重症心肌炎、心源性休克、三度房室传导阻滞、急性心力衰竭、低氧血症、肝功能不全、肾功能不全。

图1 入院急诊冠脉造影结果
接诊医生虽然已经及时采取了无创辅助通气、多巴胺升压、异丙肾上腺素提升心率、强心利尿等多项措施,但患者病情仍在不断加剧。心内科周亚峰教授得知情况后迅速评估病情,决定对患者行临时起搏器植入以及主动脉球囊反搏(IABP)治疗。IABP是一种心血管疾病的介入治疗方法,过程是经过股动脉进一根导丝,在降主动脉和腹主动脉之间,植入一个可充气、放气的球囊。球囊在心脏舒张期充气,收缩期放气,减轻心脏收缩时负担,增加心脏射血,并且在舒张期增加冠脉灌注压,从而改善冠状动脉的供血。该项技术在临床上主要用于心肌梗死、心源性休克等心血管危重症抢救或心脏介入手术预防性支持治疗,在我院已常规开展多次,挽救了许多重症心梗、心肌炎患者。
在周亚峰主任、陈弹主任、赵良平副主任、董瑞庆副主任组成的救治团队密切配合下,我院心内科顺利完成了临时起搏器植入术及主动脉球囊反搏植入术。得益于临时起搏器和IABP的帮助,患者心率、血压得以提升并趋于稳定,重要器官血流灌注得以保证,尿量增加,低氧血症改善,配合前期多种抗炎、抗感染等治疗方式,患者自觉症状明显改善,动态复查各项指标较前好转。
图2 主动脉球囊反搏仪和导管
8月13日,患者终于痊愈出院,对我院心内科团队的科先进的医疗技术水平与优质的护理服务表示感谢。
图3 入院时心电图

图4 出院前心电图
科普时间
一、什么是暴发性心肌炎?
当心肌细胞由于病毒或细菌感染等原因,出现心脏炎性反应、受损时,就可能引起心肌炎。根据发病时间和严重程度,心肌炎又分为一般性心肌炎、暴发性心肌炎、隐匿性心肌炎。暴发性心肌炎是心肌炎中最严重和特殊的类型,大多由病毒感染导致,包括肠道病毒、腺病毒、流感病毒等。
大多数心肌炎是一种自愈性的疾病。在患者本人静养的前提下,医生的帮助与药物的作用,可能会缩短病程、改善愈后,但暴发性心肌炎来得都很凶猛,患者在院的情况下死亡率都是非常高的。
二、感冒和心肌炎有内在的联系?
通常来讲,病毒性心肌炎大多是由感冒引起的。但并非所有的感冒都会引发暴发性心肌炎。
感染病毒性心肌炎有两个原因:一、病毒可以直接通过血液循环入侵心肌细胞,导致心肌细胞损伤;二、由于自身体内的免疫反应,如超敏反应、过度反应,这些免疫反应在杀死病毒的同时,也会对人体内的心肌细胞造成损伤。如果大面积的心肌细胞受到影响,将出现心脏收缩功能下降、进而可能休克,甚至最后会导致心脏猝死。
所以专家强调:感冒时,一定要注意休息!
三、暴发性心肌炎有什么症状?
因为诱发暴发性心肌炎的病毒主要包括肠道病毒、腺病毒、流感病毒等。因此,暴发性心肌炎的早期症状与流感或肠炎十分相似。
比如感冒的常规症状就是头疼、发烧、咳嗽、畏寒或者鼻塞、肌肉痛……
如果感冒的病人出现了喘气费力、胸闷、心悸、胸口有轻微疼痛,这是在提醒感冒已经累及到心脏了,要引起警惕,需立即前往医院就医。
如果出现了更严重的症状,如昏厥、大汗淋漓、血压下降、心律失常等,一定要到有体外生命支持系统设备的医院抢救,我院已通过ECMO成功救治一名暴发性心肌炎患者。
所以当你感冒后如果感觉胸闷、气紧心慌,就应尽早到医院就诊。另外还要注意感冒时间长短和患心肌炎是没有关系的,也就是说有些感冒的初期就会并发心肌炎。
四、如何预防暴发性心肌炎?
首先还是应多注意提高自身免疫力,对于暴发性心肌炎,感冒可能只是一个诱因,而我们能做的是要提高自身免疫力,保持好心情,具体我们可以用下列方法来达到增强免疫力的目的。
1.科学运动:运动能促进血液循环,加快白细胞的流通速度,提高免疫系统检测病原体的能力。健康成人建议每周至少运动5天,每天至少30分钟。但运动也需量力而行,避免时间过长或强度过大,以自己感觉舒适为宜。老年人可根据自身情况选择合适的运动方式,避免长时间进行爬山、爬楼等易损伤膝关节的运动,平时不妨多踮脚,也有助于血液的流通。
2.养成好习惯:不当的生活习惯是引发多种疾病的重要原因之一。平时要保持睡眠充足、劳逸结合、戒烟限酒、勤洗手、勤通风等,不给病毒可乘之机。
3.心情舒畅:大脑活动直接影响免疫系统的功能作用。积极乐观的心态有助于促进免疫细胞数目增长,激发免疫系统的活力,从而起到充分保护机体的作用。