患者为一位52岁女性,既往身体健康,2年来反复因胸闷气喘至当地医院就诊,当地医院心超提示:三尖瓣轻中度返流,中度肺动脉高压。当地医院给予了她相关药物治疗,但是患者的症状却改善不明显。
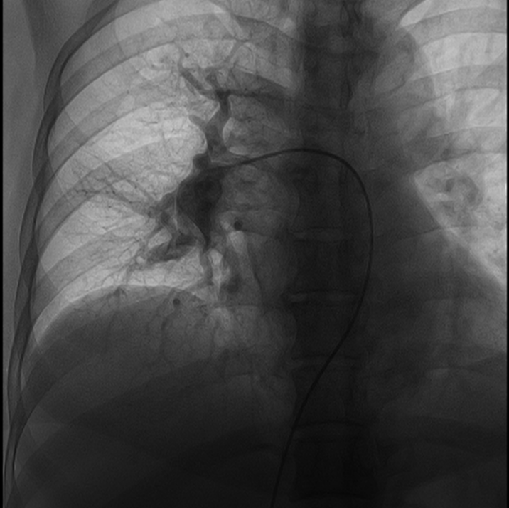
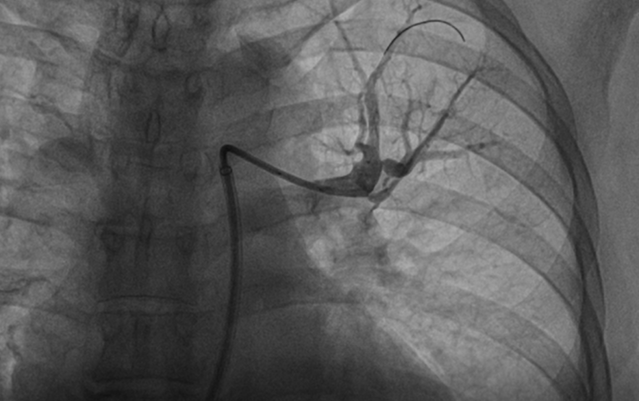
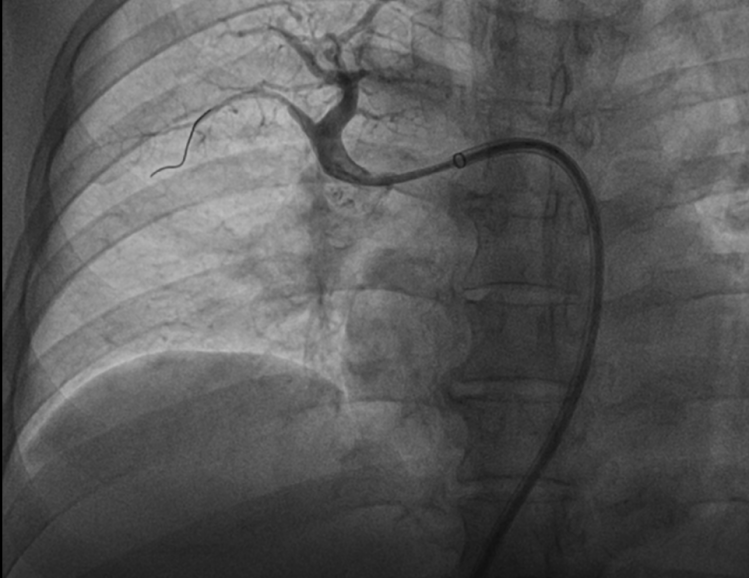
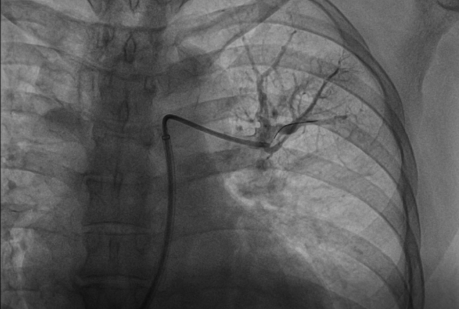
患者慕名至我院后,我科专家进一步对其进行了相关检查,最终诊断为:慢性血栓栓塞性肺动脉高压。心内科周亚峰副院长、陈弹主任、赵良平主任及团队成员进行深入讨论,并邀请呼吸科、血管外科与介入科等进行多学科(MDT)会诊,最终决定对其进行右心导管及肺动脉造影检查,结果提示肺动脉收缩压52mmHg,平均肺动脉压33mmHg,左右各肺动脉及其分支多发栓塞,可见多处血栓影及马赛克征。对右肺动脉A3、左肺动脉A1+2、左肺动脉A9行球囊扩张术,扩张后复查造影远端血流恢复良好。手术后患者的症状得到明显改善,心功能逐渐恢复,住院5天后平稳出院。出院后患者继续进行家庭氧疗、抗凝、利奥西呱降肺动脉压力等治疗,并密切随访中。随访至今,患者情况良好。

扩张后
左肺动脉A1+2扩张前
行球囊扩张后

科普时间:
广义的肺动脉高压是指各种原因引起的肺动脉压力升高超过一定界值的血流动力学和病理生理状态,可导致右心功能衰竭。肺动脉高压不一定是一种独立的疾病,也可以是并发症,还可以是综合征,是一种常见病、多发病,且致残率和病死率均很高。在目前的诊治条件下,尽管经过合适的治疗,但总体预后仍较差。
慢性血栓栓塞性肺动脉高压是其中的一种类型,是以肺动脉血栓机化、肺血管重构致血管狭窄或闭塞,肺动脉压力进行性升高,最终导致右心功能衰竭为特征的一类疾病。治疗方法主要包括外科手术治疗、介入治疗和靶向药物治疗三大类。对不同的临床类型,慢性血栓栓塞性肺动脉高压的治疗方法不同。外科手术主要是肺动脉内膜剥脱术,但是手术复杂,需要在开胸、深低温、停止循环下进行。此外,靶向药物能改善患者的血流动力学。另一种治疗方法为介入治疗,主要指经皮球囊肺动脉成形术,作为近年来一种新型介入治疗方法,为药物治疗效果不佳、不适合手术或术后出现复发/持续性肺动脉高压患者带来了希望。对于慢性血栓栓塞性肺动脉高压患者,应进行全面评估后,对适合的患者在药物治疗的基础上,应尽早进行介入治疗。
周亚峰副院长表示,肺动脉高压是一种极为难治的疾病,病因众多,其症状也是非特异的,早期可能无症状,容易漏诊或与其他疾病混淆。随着病情进展可有如下表现:⑴ 呼吸困难,进行性活动后气短,病情严重的休息时也可出现胸闷气短;⑵ 疲劳、乏力、运动耐量减低;⑶ 右心衰的症状,如食欲缺乏、恶心、呕吐、上腹胀痛,双下肢、会阴、腰骶部水肿,胸腹水,口唇、指尖、耳廓发绀,神经系统症状等;⑷某些类型肺动脉高压还会有原发病的症状,如结缔组织病相关性肺动脉高压可有脱发、光敏、口腔溃疡、关节炎等。
慢性血栓栓塞性肺动脉高压是肺动脉高压分类中的第四大类,在常规药物等治疗的基础上,经皮球囊肺动脉成形术作为近年来一种新型介入治疗慢性血栓栓塞性肺动脉高压的方式,可以有效改善患者的症状、生活质量等。期待其在肺血管介入诊疗领域能够得到进一步推广,为患者带来福音。同时,对于其他类型的肺动脉高压患者应尽早就医,完善评估,接受合适的治疗方案。