来自苏州吴中区甪直的马老太已过古稀之年,一年前发现自己腹部右侧微微隆起,但当时她觉得没有不舒服,也没当回事,更没有到医院做进一步检查。直到今年10月份,她感觉肚子隐隐作痛,还伴有腹胀、疲倦的感觉,便和家属到当地医院检查,发现果然有问题:右侧腹膜后巨大占位,大小约15cmx12cm。考虑肾上腺皮质腺癌。
马老太一家被这个检查结果震惊了,没想到肚子里居然有这么大的肿块,而且是恶性肿瘤!经多方打听,马老太及家属慕名来到苏州大学附属独墅湖医院泌尿外科就诊。

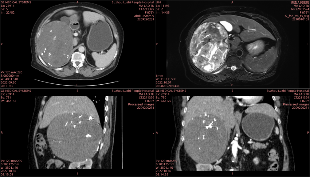
CT及MR示:腹膜后巨大占位
然而,想要切除这个像“排球”大的巨大肿瘤并不容易!住院后经检查发现,这个肿瘤来源不明,而且严重挤压右肾及肝脏,与右侧肾上腺关系密切,手术切除肿瘤并保护各重要脏器手术难度巨大。泌尿外科团队立即组织术前全院会诊,邀请普外科、影像科、麻醉科、心内科、重症医学科、内分泌科、肾内科专家进行多学科进行病例讨论。影像科张卫国主任表示,经过详细的检查,初步考虑这是来源于肾上腺的肿瘤,恶性肿瘤的可能性很大,但是从影像检查发现,肿瘤包膜较为完整,除了手术切除之外,其他的治疗方法难以奏效;麻醉科侯永恒主任表示,考虑肾上腺来源的肿瘤有可能是嗜铬细胞瘤,这种肿瘤会影响血压变化,手术切除过程中血压会出现波动,风险极大。巨大肿瘤周围不但血管密布,还与周围的肝、肾及肠道粘连,这无疑大大增加了手术的风险和难度。为了尽可能减少创伤和风险从而达到能够切除肿瘤的要求,科室讨论后决定为她进行手术,完整切除肿瘤并保护各重要脏器,尤其是尽量不损伤右侧肾脏及肝脏。
在普外科卢杏生主任、麻醉科侯永恒主任、张海涛医生团队以及手术室的全力配合下,泌尿外科浦金贤主任、沈罡主任、周守军主任带领团队拉开了一场“切瘤”大战。

经过3个多小时的手术,巨大肿瘤终于被完整切除。考虑患者年龄大,基础疾病多,术后即转入ICU观察治疗。高建瓴主任团队的精心照料,患者术后平稳,顺利拔除气管插管,并于术后第一天即转回泌尿外科病房。经过术后康复治疗,马老太恢复良好,术后第四天即下床活动。出院之际,马老太与家属向泌尿外科医疗团队表达了真挚的感谢,感谢医生用妙手仁心拆除了她的“定时炸弹”。

我们将依托多方优质资源,持续推动专科的建设与发展。全院人员牢记“以病人为中心、以医务人员为核心”的医院发展理念,秉承“团结、严谨、奋进、务实”的宗旨,凝练特色技术,走国际化发展道路,提升核心竞争力,保证每一位成员立足本职,奋力拼搏,不断提高医疗技术水平和服务质量,更好地为广大人民服务。