险中求稳 稳中取胜——我院消化内科成功取出穿透食管紧贴主动脉的异物
来源:马亦凡 发布时间:2022-12-20 15:52:56 浏览次数:4523
  近日,30岁的小程在吃鸭脖的时候不慎误吞了鸭骨头,顿觉胸痛,自行催吐部分食物后依然不适,吞咽时疼痛明显,于是马上到独墅湖医院就诊。
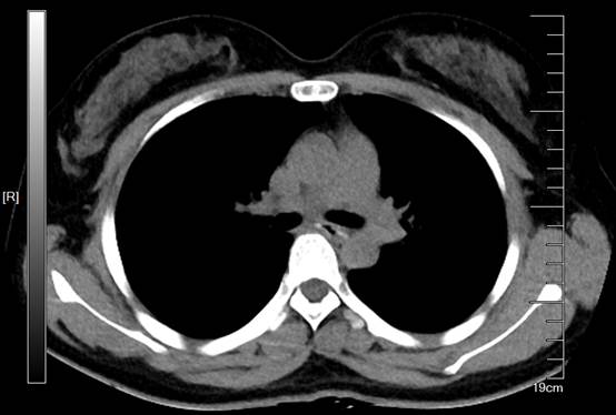
  接诊的耳鼻喉科医生给小程开了胸部CT,显示食管中段腔内骑跨的高密度影,一端与后方的主动脉分界不清,遂告知患者转诊消化科。消化科医生接诊后,立即汇报蒋彩凤主任,蒋主任了解情况后高度重视,因为骨头一旦刺破主动脉,很快将出现大出血从而危及生命。为了精确评估骨头与血管关系,做了胸部增强CT后发现骨头与主动脉紧贴,幸运的是,主动脉内未见明显造影剂外渗。尽管如此,内镜下取出的难度仍然非常大,在松动异物和取出过程中食管蠕动,随时有二次损伤食管壁或者刺破主动脉的可能,为全力保证患者生命安全,当下即刻联系胸外科、麻醉科、中心ICU、急诊科前来会诊。
图1 术前CT下的鸭骨
  经过会诊后,蒋彩凤主任决定亲自给患者做胃镜。手术准备妥当,术中见到患者食管距门齿25cm有一白色不规则骨头样异物嵌顿,骑跨在食管中央,经过仔细观察,一端嵌入比较深,助手赵雪晴护士迅速置入异物钳夹住了异物中央,蒋彩凤主任通过内镜手法最终成功把骨头取出体外。重新进入胃镜见原来鸭骨头嵌顿的地方有一小破口,局部黏膜损伤明显,但出血较少,没有脓液或气泡从破口处冒出来。考虑术后有纵膈感染、迟发出血等风险,患者病情较重,收住中心ICU监护治疗。
图2 内镜下发现鸭骨
图3 鸭骨从体内取出
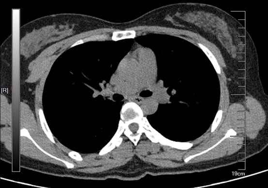
  术后小程复查了胸部CT,食管中段没有再看到异物,周围组织也没有异常,在中心ICU观察一天后顺利出院。
图4 术后CT
  消化内科医生提醒您:市民朋友用餐时务必小心,避免不慎吞入鱼刺、骨头、枣核等异物。如果吞入异物,请不要自行处理,如催吐、吞下食醋、饭团等从而加重嵌顿。异物卡顿在食管,有划伤、穿透食管壁、游移至纵膈、穿破主动脉的可能,增加内镜手术或外科手术的风险,甚至危及生命。一旦误吞异物,请立即至附近医院就诊,让医生进行专业处理。