今年41岁的周先生近期来总是忧心忡忡,原因竟是几天前出现了血尿。平素周先生身体健康状况非常良好,也没有得过什么大病,怎么会出现血尿呢?周先生四处寻访,打听到了苏州大学附属独墅湖医院有一位德高望重的泌尿外科专家——浦金贤主任。周先生慕名来到浦主任门诊就医,一番检查以后,竟然发现了大问题。
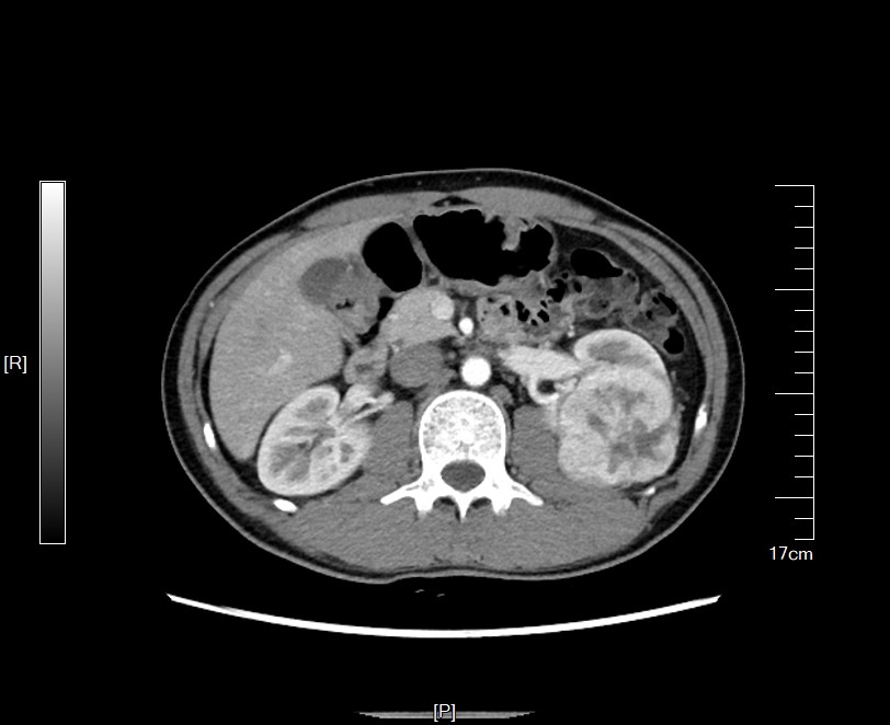
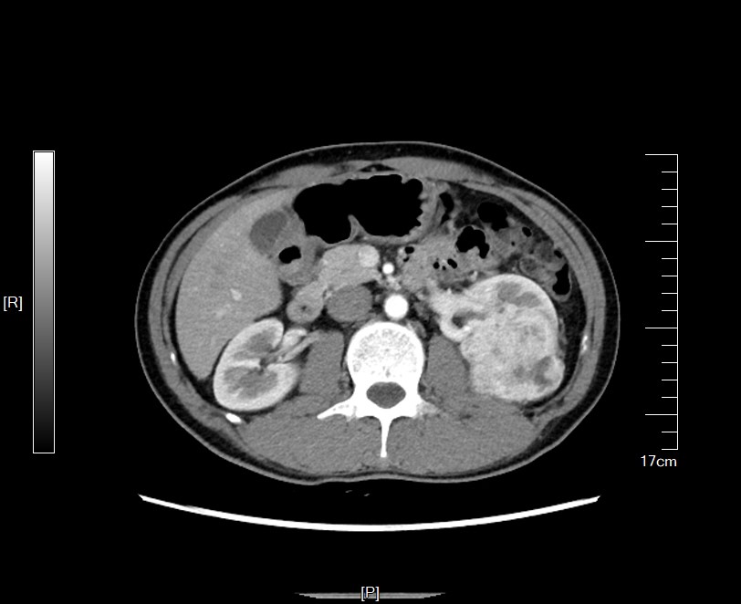
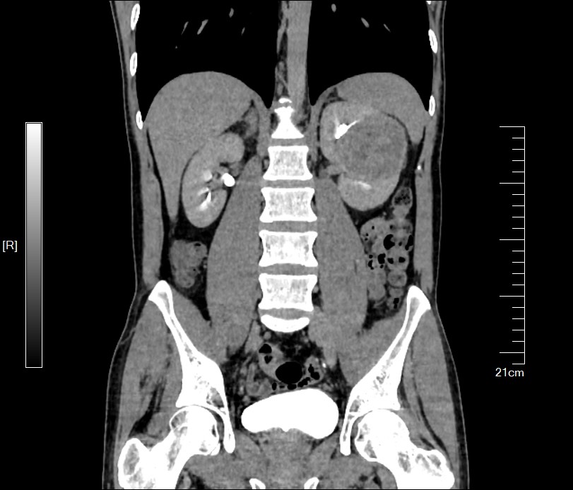
周先生住院进行了CT检查,发现在左侧肾脏上长了一个巨大的肿瘤,大约有7cm大小,占到了肾脏半数以上的体积。



虽然肿瘤本身巨大,手术难度很高。但是为了获得最佳疗效,最大程度保障患者切身利益。泌尿外科浦金贤主任、周守军主任医师、沈罡副主任医师及科室一众泌尿外科医师进行了术前讨论,并且与患者及家属积极沟通后,决定保留部分健康肾脏,切除肿瘤,充分考虑下决定行腹腔镜下肾脏部分切除手术。
在浦金贤主任高超的手术水平下,手术顺利完成,肿瘤完整取出。
手术后病理结果提示:(部分左肾)透明细胞肾细胞癌,WHO/ISUP:2级,切缘阴性。
在我科浦金贤主任带领的医师团队及刘雪护士长带领的护士团队精心呵护下,患者目前已顺利康复。