临床上,甲状腺癌的病理分型主要包括甲状腺乳头状癌、甲状腺滤泡状癌、甲状腺髓样癌及甲状腺未分化癌。而甲状腺鳞状细胞癌发病率相对较低,较为罕见。这就给我们临床医生带来了思考:该患者左侧甲状腺癌究竟是原发还是转移?是否应该首先考虑由其他脏器肿瘤转移而来?故下一步的诊疗重点是寻找可能存在的原发肿瘤。
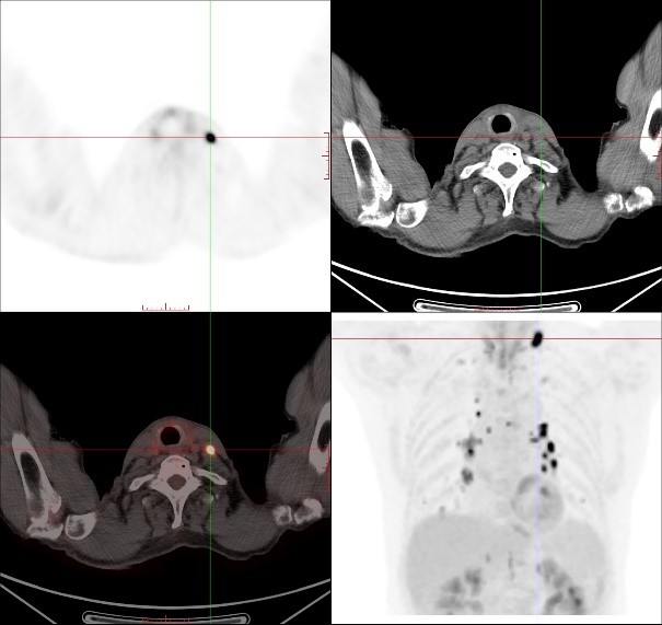
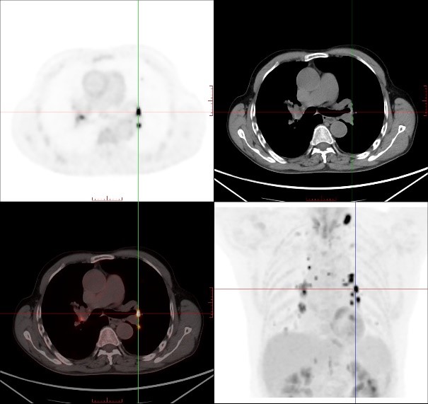
因此,临床医生给患者进行了传统的颈胸部增强CT检查以了解术后颈部情况,并试图寻找可能存在的原发病灶,但令人遗憾的是,增强CT并没有发现原发灶及转移相关证据。于是,医生决定给患者做一个全身PET/CT检查。

随着现代医学的不断发展,除了B超、CT、MRI等影像检查外,PET/CT也逐渐进入大众的视线并普及应用。PET/CT,全称正电子发射计算机断层显像,它是PET和CT的结合,既可以像CT一样为病灶提供精细的解剖和病理信息,又可以提供病灶的功能和代谢等分子信息,两者完美结合,优势互补,真正实现了1+1>2。
对于贺老伯来讲,超声及颈胸部增强CT检查均未能发现颈部、纵隔及肺门异常淋巴结,而PET/CT准确地找到这些异常淋巴结,就像多盏灯将这些隐藏的可疑淋巴结点亮一样,让可疑病灶无处遁形,为临床确定精准治疗方案提供帮助。
苏州大学附属独墅湖医院核医学科拥有高端PET/CT,GE Discovery MI。我们立志为患者提供更精准的医疗诊断,想要了解更多有关PET/CT的信息,欢迎咨询苏州市独墅湖医院核医学科!
地址:苏州工业园区崇文路9号苏州市独墅湖医院负一楼核医学科
咨询电话:0512-65955525,0512-65955483