89岁的王奶奶这两年总是觉得右侧臀部隐隐作痛。3个月前,感染新冠病毒以后,臀部的疼痛越来越重,还影响到了右腿,走两步路就疼得不行,只有躺在床上才能有所缓解,严重影响了日常的生活。
在家人陪同下,她来到了姜为民主任的门诊,在耐心地询问病史及细致的查体后,姜主任判断出这多半是“腰椎间盘突出”在作祟。腰椎磁共振检查结果也证实了他的诊断。

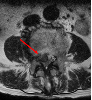
(巨大的椎间盘压迫神经)
对于椎间盘突出症,轻者可以采取保守治疗,但像王奶奶这样的巨大椎间盘突出,症状又非常严重的,保守治疗很痛苦,手术治疗非常必要,由于岁数大,如果采取常规的开放手术创伤及风险都较大,因此,微创手术是最佳选择。在跟王奶奶及家属充分沟通后,姜主任团队为老人施行了一种简称为UBE的手术,术后效果立竿见影,困扰了王奶奶3个多月的症状消失了。
所谓UBE手术,即单侧双通道脊柱内镜技术,是在单通道脊柱内镜基础上发展出来的微创手术,与单通道相比具有操作简便、可靠直观、高效的特点,而且适应症广泛,大部分脊柱手术都可在UBE下完成。与传统开放手术不同,该技术无需广泛剥离肌肉,术中仅需做两个0.5-1.0cm左右的手术切口,就能解决以往传统手术才能解决的问题,创伤小,恢复快。
(取出的髓核组织)
(两道1cm长手术切口)
像王奶奶这种腰椎间盘突出症的患者有很多,而且患者群体越来越偏向年轻化。什么样的腰椎间盘突出症需要手术呢?如果符合下述情况就可以考虑了:
1、有持续的臀部及下肢疼痛,影响行走,明显影响生活与工作,经3-6 个月非手术治疗无改善。
2、合并马尾神经严重受压,伴有相应临床表现如大小便功能障碍者。
3、出现单根神经根麻痹,伴有肌肉萎缩、肌力下降者。
大部分腰椎间盘突出患者可接受保守治疗,如药物、牵引、理疗、运动等,但总有10%-20%的患者躲不过手术这一关。手术治疗的目的是解除神经压迫,去除腰腿痛症状。手术时机很重要,如果神经受压迫时间过久,即使手术,疗效也会有很大影响。因此,我们建议患了腰椎间盘突出症的患者要及时就医,采取正确的治疗方法,确实需要手术治疗也不必担心,UBE微创手术是安全有效可靠的。