我院神经外科首席顾问巴特朗菲教授完成2023年春季面诊活动及疑难手术示范
来源:荣孝慈 发布时间:2023-05-15 15:19:54 浏览次数:6617
  近日,世界著名神经外科大师德国巴特朗菲教授(江苏省卫生支撑计划中德国际合作交流项目合作专家)受苏州大学附属独墅湖医院神经外科主任黄煜伦教授邀请,再次来我院开展多样化交流合作,包括联合我院神经外科团队救治疑难脑肿瘤患者、开展手术示范教学以及线下一对一面诊。巴教授根据患者的实际病情提供国际前沿的诊疗策略和科学系统的治疗方案。借此机会,国内疑难脑瘤患者得以和这位世界脑瘤大咖面对面问诊。此外,巴教授还参加了神外沙龙学术会议,与国内神外同仁分享脑干手术经验,共话神经外科世界级难题。
巴教授术前与我院神经外科黄煜伦教授团队沟通手术方案
巴教授手术中
巴教授和神经外科黄煜伦教授术后联合查房

  此次中国行,巴教授在我院完成了9台高难度脑瘤手术示范。每一台手术都是对医者来说,都是巨大的挑战,对每个家庭来说,也意味着深切的希望和期盼。此次接受手术的多名患者肿瘤分别位于脑干、脊髓及丘脑、鞍区等位置。在团队的配合下,巴特朗菲教授进行最大程度的肿瘤切除,且完好地保留了患者的正常神经功能,手术均顺利完成。目前,这些患者术后恢复良好,所有患者均已顺利出院。
颅咽管瘤患者影像,患者术后视力明显改善,无明显尿崩及电解质紊乱
T6髓内海绵状血管瘤患者影像,术后患者双下肢肌力Ⅲ级(同术前),胸部束缚感较前缓解
丘脑海绵状血管瘤患者影像,术后患者四肢活动正常
双侧听瘤患者影像,术中右侧面听神经解剖保留,术后右耳听力保留,轻微面瘫,恢复中
脑干海绵状血管瘤患者影像,术后肢体活动良好、面瘫情况同术前,无新增阳性体征
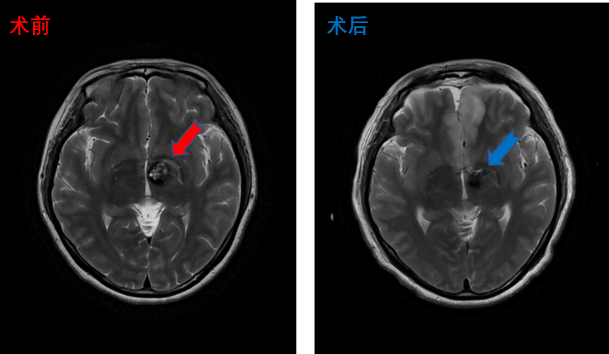
放射冠海绵状血管瘤患者影像,术后患者四肢活动正常
功能区低级别胶质瘤患者影像,采用术中核磁,确认肿瘤全切,术后患者左下肢肌力Ⅳ级
  苏州大学附属独墅湖医院神经外科现有医师14名,博士研究生导师2名,硕士研究生导师3名,主任医师2名,副主任医师2名。手术范围涵盖三级甲等医院及省级临床重点专科所要求的全部病种,并配备有江苏省内唯一在用的飞利浦3.0术中核磁-飞龙DSA复合手术室、蔡司KINEVO 900及莱卡PROvido-8双荧光手术显微镜、BrainLab神经导航仪、美国凯威术中神经电生理监测仪、史赛克超声吸引系统、蛇牌全套手术器械等。巴教授对我院神经外科的人才配备、软硬件设施均感到满意,赞不绝口,表示希望继续加强交流合作。
我院术中核磁、神经导航、神经电生理监测设备
  苏州大学附属独墅湖医院坚持走国际化道路,通过搭建国际化平台使广大患者朋友们不出国门也能与国际神经外科大师面对面咨询。作为2023年国际交流的开篇行程,巴教授此次中国行历经近一个月,圆满结束。后期巴教授会以季度为单位继续至我院开展面诊活动及疑难手术示范。