几年前因双下肢的血栓,52岁的吕阿姨失去了双腿,原本喜欢热闹的她只能借由轮椅移动,生活很不方便,也减少了很多社交。渐渐地,吕阿姨变得寡言少语起来。近几年疫情,家人发现,吕阿姨比以往说话更少了,经常木讷地盯着某处,行动也越发不灵活,经过观察和询问才得知,吕阿姨看不见了!

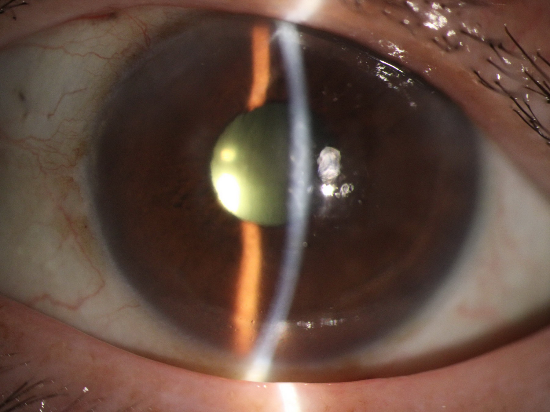
图1 术前眼前段照相
于是,家人带着吕阿姨来到了我院眼科肖盼副主任的门诊。经过肖主任检查发现,吕阿姨双眼白内障呈现熟鸡蛋一样的白色,双眼晶状体完全浑浊,整个瞳孔区变白,只能看见光感,初步诊断为“双眼盲”。由于双眼都看不见,行动极其不便,检查也难以配合,肖主任耐心地给吕阿姨进行各项眼部查体,建议排除手术禁忌后,先后行左右眼的白内障超声乳化摘除伴人工晶体植入手术治疗。
图2肖主任和吕阿姨进行术前沟通
图3用平车将吕阿姨推入手术室
图4肖主任给吕阿姨摆好手术体位图
图5手术结束,大家将吕阿姨抱上平车
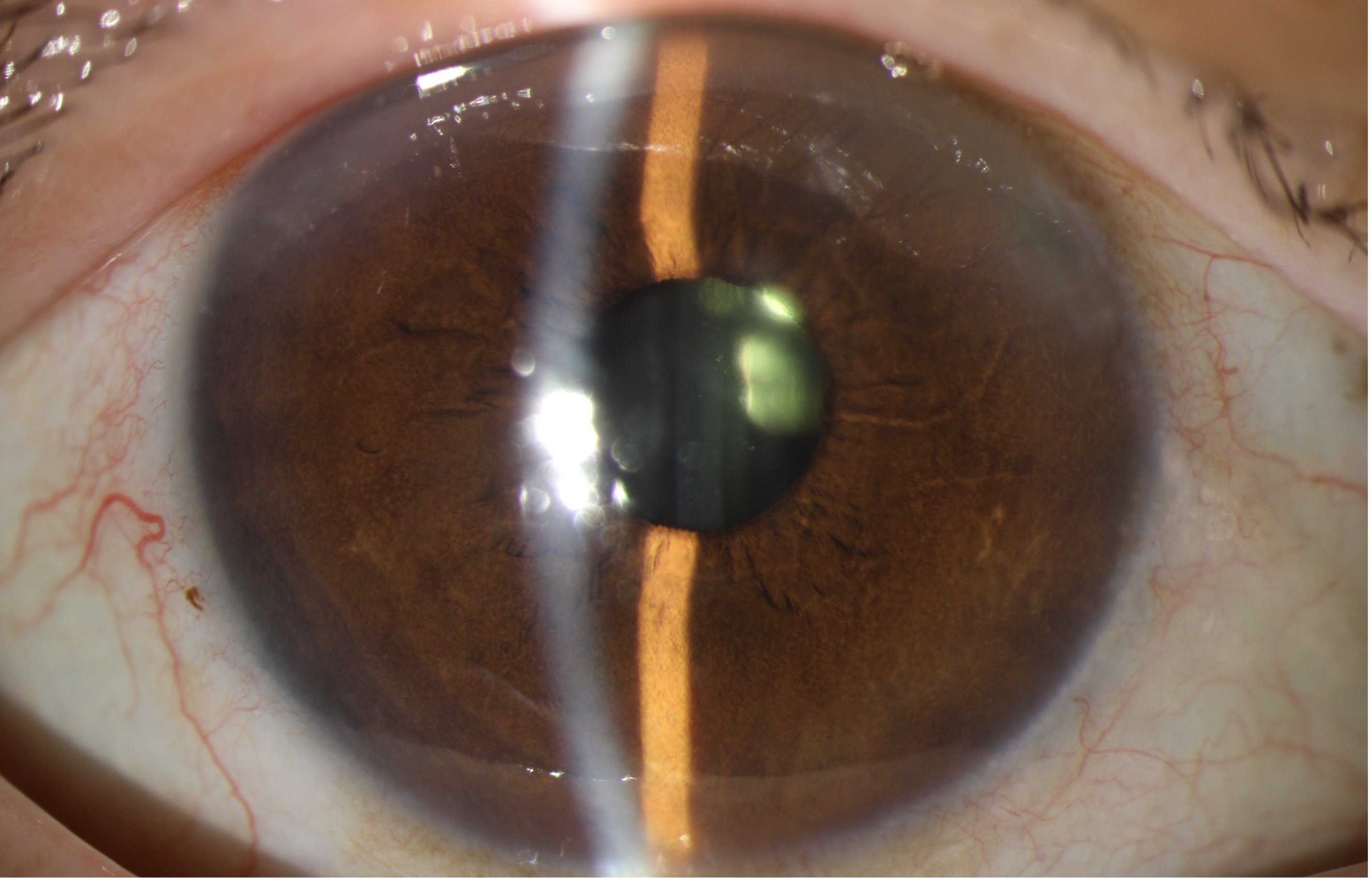
左眼手术后门诊复查,视力达到0.8,吕阿姨重见光明,性格也变得开朗起来。第二次来做右眼手术的时候,吕阿姨已经能跟旁边的病友谈笑风生,还热心地安慰别人不要紧张。待到双眼都先后进行了白内障超声乳化摘除伴人工晶体植入手术后,吕阿姨发自内心地露出了笑容。
图6术后眼前段照相
什么是白内障?
白内障指的是眼睛透明的晶状体变浑浊。如果把眼睛比作照相机,晶状体就像镜头,起到聚光、成像的作用。正常情况下,晶状体是透明的。任何原因导致晶状体透明度降低或者颜色发生改变,引起视物模糊、视力下降,均称为白内障。白内障的主要原因是衰老,在任何年龄段都可以发生。因此,做好眼病筛查、预防尤为关键。
白内障的手术时机?
目前,白内障最有效的治疗方法就是手术。主流的手术方式是“白内障超声乳化吸除+人工晶状体植入术”。白内障摘除后,往往要植入人工晶状体。人工晶状体的选择有很多,包括单焦点、散光矫正型人工晶状体以及功能性多焦点人工晶体等。患者可以根据个人的眼球条件、工作和生活需要进行选择。在门诊,经常有病人问:“医生,我的白内障熟了吗?”,“医生,人家说,白内障要熟透了才能做手术?”其实,对于老年性白内障,不建议患者像吕阿姨一样,等到白内障“成熟”、完全看不见才去就医,因为在白内障变“成熟”过程中,容易出现并发症,且拖得越久,手术难度越大,术后恢复时间越长。
如果老年人出现看物体模糊,视力下降,就应该及时到医院检查,明确诊断。而白内障手术时机的选择,应根据不同的患者个体情况决定。在第30届亚太白内障及屈光手术医师学会(APACRS)年会上发布的《APACRS白内障手术临床实践指南》中指出,如果患者有可能从手术中获益,就应该行白内障手术。对于成熟或膨胀期白内障,应尽早地实施手术。一般情况下,白内障手术是在患者视力降至0.5以下时便可实施。(值得强调的是,不应该只将视力作为白内障手术的标准,因为视力和视功能并不总是相关的,需要进行视觉质量相关检查评估白内障对患者视功能的影响。)
白内障如何预防?
对于白内障,特别是老年性白内障,虽然不可避免发生,但可以延缓进展速度。户外活动时,可戴遮阳帽或太阳镜等,以便减少紫外线对晶状体的损伤。同时,积极防治慢性病,如糖尿病等。近视、青光眼、葡萄膜炎、眼部手术等都会导致白内障的发生,因此,注重相关眼病的防治,也可降低白内障发生的风险。此外,养成良好的生活习惯,降低使用药物和减少外伤风险,同样可以降低白内障发生的风险。眼科肖盼副主任医师门诊时间:每周一上午白内障专病门诊。