近日,独墅湖医院骨科姜为民主任团队成功为一名腰椎间盘突出症患者完成单侧双通道内镜下(UBE)腰椎融合术。
UBE技术又名单侧双通道内镜技术,医生通过两个约0.5cm的手术切口,即可切除突出的椎间盘,解除神经压迫的痛苦。与传统动辄5cm长手术切口相比,在减小创伤方面具有独特优势,缓解了患者对于“开大刀”的恐惧心理。
UBE技术自今年年初引入我科以来,已成功开展40余例手术,均获得了满意的术后疗效,患者的门诊随访反馈良好。此次借着我科刚引进的手术机器人的东风,姜为民主任医师团队实现了在UBE通道下完成椎间盘切除、融合、经皮椎弓根钉固定的飞跃,将腰椎退行性疾患解决于方寸之间,在脊柱微创蓝图上添了浓墨重彩的一笔。
来自泰州的吕先生便是其中的一位受益者。吕先生是一名中年患者,饱受腰腿疼痛半年有余,特别是走路的时候,出现双侧的腿部疼痛及麻木无力,尝试过其他多种疗法都无明显效果,已经严重影响到日常生活。吕先生就诊过多家医院,诊断为“腰椎间盘突出伴椎管狭窄症”,几家医院都建议手术治疗。听闻独墅湖医院姜为民主任是这方面的权威,遂慕名而至他的门诊。
姜主任仔细了解了吕先生的病史,结合影像学检查,认为他需要手术且符合做微创手术的条件。考虑到吕先生远道而来,于是特别安排他当天就住院完善术前准备。

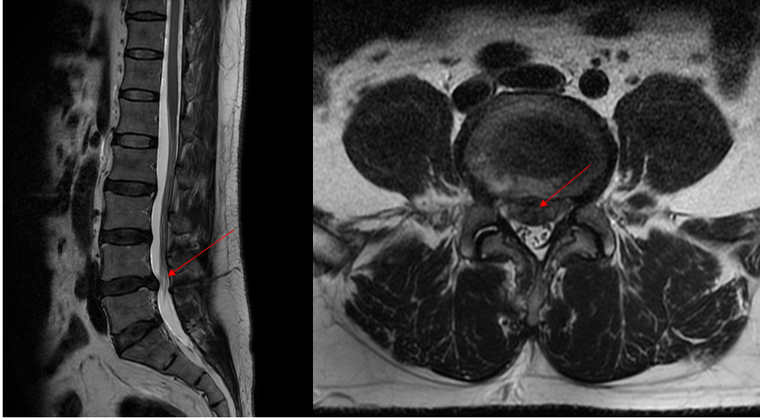
罪魁祸首--突出的椎间盘
经过充分和精心的术前准备,姜为民主任医师团队成功为患者施行“内镜下腰椎间盘融合术+经皮椎弓根钉内固定术”,术中借用O臂机和手术机器人,通过先进的影像引导系统,对患者的脊柱进行准确的三维重建和规划。手术医生在计算机屏幕上看到患者的脊柱结构,并根据个体化的解剖特征进行术前计划,为手术提供了更准确的定位和手术路径规划,将误差控制在1mm以内。此次手术过程仅1.5小时,术中出血量不足50ml,伤口为两个1cm切口,符合当前微创及快速康复理念。术后第3天,患者可以下床活动,对术后疗效非常满意。
骨科两大法宝--O臂机、手术机器人
术后第3天下床活动,手术切口长1cm
CT示手术机器人规划好的置钉通道位置良好
在脊柱微创技术日新月异的时代,我院骨科在医院的大力支持下,在微创领域进行积极探索,完成了多项技术创新,已建立并完善了脊柱微创治疗体系和颈椎、腰椎退行性疾病的个性化、阶梯化诊疗方案,可以用精湛的诊疗技术更好地为广大患者提供高质量的医疗服务。