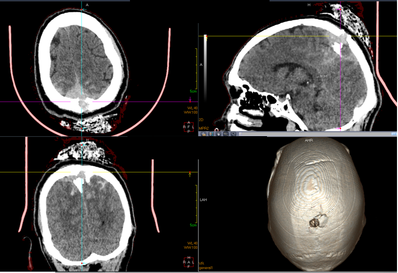
在呼啸的120急救声中,58岁的建筑工人老刘被送入我院抢救室。老刘在两小时前被10米高处掉落的钢筋扎破头部,钢筋直径约1cm,当时佩戴的安全帽被刺破,径直插入颅脑。入抢救室时钢筋已被取出,头部用纱布进行了压迫止血处理。急查头颅CT显示:顶骨骨折,颅内碎骨片及气颅,硬脑膜外及下血肿,脑挫裂伤。虽然患者入院时神志清楚,但是钢筋正好刺入矢状窦,有大块骨折片刺入矢状窦,存在随时可能大出血的危险,病情十分危急。
头颅CT提示颅内碎骨片、脑挫裂伤,钢筋刺入矢状窦
神经外科黄煜伦主任、肖宗宇副主任对病情进行评估后,决定立即进行急诊开颅手术。术中可见脑组织已从伤口疝出,一枚较大骨片刺入矢状窦,矢状窦出血严重。遂予以自身骨膜修补重建矢状窦,清除挫伤脑组织。整个手术过程中,医护人员紧密配合,沉着冷静,团结一心,认真负责,手术进展顺利。
术中暴露钢筋颅骨穿刺口及刺入矢状窦骨片
经过后期的综合治疗,患者恢复顺利,术后复查头颅磁共振显示重建的矢状窦血流通畅,目前患者已恢复正常生活。