内镜技术再突破,小切口解决大问题
来源:李人杰 发布时间:2024-01-09 15:52:53 浏览次数:5122
  近期,独墅湖医院骨科姜为民主任团队运用单侧双通道内镜技术(UBE技术)微创、安全、高效地完成了首例胸椎管狭窄症减压手术,标志着我院骨科脊柱外科在微创治疗胸椎管狭窄症方面达到国内先进水平。
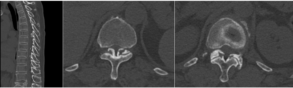
  王阿姨近几年来时常感觉双下肢麻木,行走不稳,容易跌倒。王阿姨最近一次摔倒后,出现腰部剧痛、双下肢无力、行走困难的症状,家属立即带着王阿姨来到独墅湖医院骨科姜为民主任诊室就医。经查CT及MR显示:患者 L1压缩性骨折,T5-T12后纵韧带骨化。
L1骨折,合并胸椎管狭窄症
  姜主任仔细查体后,确诊患者为“L1骨折,胸椎管狭窄症”。考虑到王阿姨年岁高,手术创伤性大,姜主任决定将治疗方案拆分成两个步骤,第一次手术行“胸椎椎板切除减压术+椎弓根钉内固定术+经皮椎体球囊后凸成形术”,第二次行“内镜下胸椎椎板切除减压术+黄韧带切除术”。
T8-T12椎板切除减压、L1骨水泥强化
  胸椎管狭窄黄韧带骨化症是一类高致残性疾病,薄薄的神经如同松软的豆腐,任何一点损伤都可能导致不可逆的后果,切除骨化的黄韧带就好比在刀尖上表演舞蹈。姜主任将最新的UBE技术应用到王阿姨的手术治疗中,通过3个1cm的小切口在内镜下顺利从胸椎后方对T5-T7椎板完成了切除减压,并通过薄化技术一点一点切除骨化的黄韧带,用时153分钟顺利完成了“内镜下胸椎椎板切除减压术+黄韧带切除术”,术中出血60ml。术后,患者下肢麻木症状明显好转。在医院稍作休养后,即顺利康复出院。这次的UBE微创手术让王阿姨的印象尤为深刻,切实体会到了微创手术的神奇。
  术后,姜为民主任表示,我院骨科现已成熟开展了UBE腰椎与胸椎内镜手术,包括椎间盘摘除,椎管狭窄减压及镜下融合手术,术后患者反馈良好。接下来我院骨科将进一步拓展UBE手术,争取在苏州市内率先完成颈椎、胸椎、腰椎的全脊柱UBE手术。当今外科手术的发展趋势是精准化、微创化与智能化,独墅湖医院骨科团队将朝着这一方向继续努力。
  疾病科普:
  胸椎管狭窄症是指先天性或后天退变因素等导致的胸椎管横断面积缩小,脊髓受压而产生的一系列症候群。胸椎管狭窄症常引起严重的脊髓损害,导致下肢瘫痪等严重后果。后天性胸椎管狭窄症最常见的病因是胸椎黄韧带骨化。
  胸椎管狭窄症最有效的治疗手段是通过手术扩大椎管,但该手术风险极大,极易引起瘫痪等手术并发症。传统的开放性手术存在创面大、失血多、破坏脊柱稳定性、术后恢复慢等问题,是脊柱外科难度系数最高的手术之一。而运用UBE技术治疗胸椎管狭窄症,不仅手术创面小,而且在内镜放大照明良好的视野下操作更精准、更安全。此外,该手术只切除了致压的部分组织,并未影响病变节段的稳定性,最大限度的减少了脊柱后路融合的需求。这项全新的手术技术为胸椎管狭窄症的治疗提供了新的选择,也为患者带来了更好的治疗效果和术后体验。