苏大附四院骨科完成我院首例关节镜下肩关节盂唇损伤修复手术
来源:罗勇骏 发布时间:2024-06-25 09:52:26 浏览次数:5480

近期,苏州大学附属第四医院骨科杨小海主任治疗组顺利完成苏大附四院第一台关节镜下肩关节盂唇损伤修复手术,在骨科的运动医学亚专科方向取得突破,成功填补我院该项技术空白。

郑先生,今年28岁,年轻的他平日里酷爱体育运动。然而,半年前某次健身中,他的肩关节不慎受伤脱位,去附近医院急诊就诊,复位成功。起初他以为适当休养即可,但在接下来的半年时间里,郑先生反复遭遇左肩关节的脱位,肩部的疼痛让他备受困扰,严重影响正常生活。经历了数月的肩痛折磨,郑先生来到了苏大附四院骨科主任医师杨小海的专家门诊就诊。

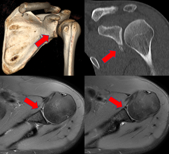
杨小海主任在详细询问了他的病情后,为他进行了肩关节的CT检查,结果显示,郑先生半年前所受的肩部损伤较为复杂:肩关节在初次受伤时出现脱位,然而不幸的是,在脱位的过程中,肱骨头损伤了肩关节盂,造成关节盂的骨折。虽然初次的复位成功了,但是由于肩胛盂的骨折,肩关节无法获得长久的稳定,导致一些日常活动就会反复造成肩关节的脱位。此类脱位也无法通过保守治疗获得满意的疗效,因此杨主任当即告知患者郑先生治疗方案很可能会需要手术治疗。

 

影像学提示患者肩关节盂唇损伤,可见明显的骨片影,盂唇与关节盂分离

听说要做手术,郑先生起初是有些犹豫的,但随后杨主任向他介绍了手术方案:可以通过肩关节镜下的微创手术进行关节盂的修补。关节镜下的盂唇修补手术方案也得到了姜为民主任、林俊主任等科室专家的一致认可。患者认真考虑了杨主任的建议后,决定住院接受手术。手术如期进行,在杨小海主任团队的精细操作下,耗时1小时余,我院首例肩关节镜下盂唇损伤修复手术顺利完成。术后3天,郑先生顺利出院,回家进行康复训练。对于此次治疗过程,他感到非常满意。

 

术中镜下图片:损伤撕裂的盂唇清晰可见,术后(右)已成功修补

 

“小”切口解决患者“大”难题

杨小海主任介绍:肩关节是人体最灵活的关节,可以进行多种方位的组合运动,是典型的球窝关节,主要由肱骨头和肩胛骨的关节盂构成。肩关节活动度大,也在一定程度上带来了稳定性差的问题,因此临床上肩关节脱位较为常见,尤其以前下脱位多见。某些肩关节脱位的患者,其肱骨头脱出关节盂的过程中会将关节盂前下方的关节囊、韧带等结构损伤,骨科医师称之为“Bankart损伤”,部分病例甚至会出现“骨性Bankart损伤”,即关节盂前下缘的骨折或骨缺损。此类损伤多见于年轻人,会造成患者习惯性的肩关节脱位,严重影响患者生活质量,往往需要手术治疗。目前针对此类损伤,可以通过微创的肩关节镜术式修补患者损伤的关节盂,重建肩关节的稳定,不足1厘米的小切口便可以解决患者的大难题。当然,手术治疗后患者也需要在专业医师的指导下进行一定时间的制动以及循序渐进的功能锻炼,才能达到真正令患者满意的临床愈合。

苏州大学附属第四医院骨科是苏州市重点专科建设单位,开科三年多以来,开展了各类骨科疑难疾病的诊治,拥有丰富的经验。运动医学作为骨科重要的亚专科,近年来发展迅速,包括有多种类型的微创手术方案,可以通过尽可能小的手术创伤,使患者获得满意的疗效。苏大附四院骨科将不断努力,锐意进取,加强重点专科建设,为广大骨科患者提供更为优质的医疗服务。