心脏里的“查漏补缺”——苏大附四院胸心大血管外科成功完成一例体外循环辅助下房间隔缺损修补手术
来源:张煜 发布时间:2024-12-04 16:06:00 浏览次数:5325


       40岁的牛女士在六年前进行产检时发现心脏上有个“漏口”,医生诊断告诉她患有“房间隔缺损”。房间隔是分隔心房的组织,在胚胎发育过程中,由于遗传因素或宫内病毒感染等原因,房间隔的发育、吸收和融合出现异常,导致左、右心房之间残留未闭的缺损,这是常见的先天性心脏疾病之一。

牛女士表示了疑惑,她并没有任何不适症状,且活动良好。医生告知说绝大多数该病患者会随着年龄增大出现症状,如:胸闷、气急、心悸、乏力等,并且逐渐加重,甚至出现心律失常、右心衰竭、卒中及肺动脉高压,严重者可能导致死亡。一般来说,许多房间隔缺损会在儿童时期自行闭合,对于不闭合患者,一些小的房间隔缺损也不需要治疗;但对于成人来说,只要超声检查存在右心室负荷的加重,就应尽早治疗。

在复查心脏彩超并进行专科评估后,牛女士被明确诊断为“房间隔缺损(继发孔型、多空型)”。详细来说,在胚胎生长发育时,心房由从其后上壁发出并向心内膜垫方向生长的原始房间隔分为左、右心房,随着心内膜垫的生长并逐渐与原始房间隔下缘接触、融合,最后关闭两者之间残留的间隙(原发孔)。在原发孔关闭之前,原始房间隔中上部退化吸收,形成一个通道即继发孔,在继发孔形成后、原发隔右侧出现向下生长的间隔即继发隔,形成单瓣遮盖继发孔,但二者之间并不融合,形成卵圆孔,血流可通过卵圆孔在心房分流。

卵圆孔于出生后逐渐闭合,但在约20%的成人中可遗留细小间隙,由于左房压力大于右房且其面有活瓣组织覆盖,正常情况下可无分流。如在胚胎发育过程中,原始房间隔下缘不能与心内膜垫接触,则在房间隔下部残留一间隙,形成原发孔房间隔缺损。而原始房间隔上部吸收过多、继发孔过大或继发隔生长发育障碍,则出现继发孔房间隔缺损。

牛女士六年间坚持有定期随访复查,近期的检查发现牛女士的右心房及心室逐渐扩大,两者之间的三尖瓣也出现了中-重度返流,情况的发展帮助牛女士下定了治疗的决心。但由于缺损较大且为多孔型,她并不适合介入封堵这一创伤较小的手术方案,在辗转求医后来到了苏州大学附属第四医院胸心大血管外科求助于马海涛主任医师。

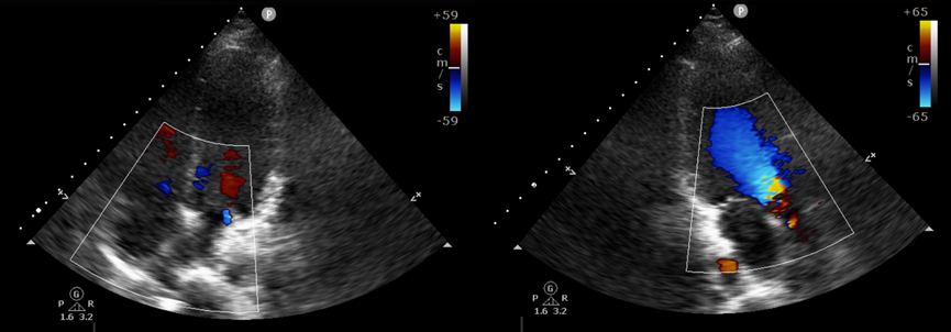
1120日,患者接受了体外循环辅助下房间隔缺损修补手术。在常规消毒铺巾、逐层打开进入心包后进行体外循环,停心后打开右心房,探查见最大缺损有3.5cm!在大缺损下另有三处小缺损,直径约0.5cm。马海涛主任仅用缝线操作,针走龙蛇,行云流水般的关闭了缺损,尽显精湛技术,并在关闭心脏后成功复跳。术后,在我院麻醉手术科、重症医学科、胸心大血管外科等科室的通力合作下,病人生命体征逐渐平稳,转入普通病房开始康复治疗,复查床边心超亦未见残余分流,患者现已顺利出院。


心外科手术适应病症

尽管心脏介入手术技术已经非常成熟,且具有微创、恢复快等优势,马海涛主任表示心外科手术仍在治疗某些复杂和特殊心脏病中发挥着不可替代的作用:

治疗复杂先天性心脏病(如单心室畸形、大动脉转位、法洛四联症等);

处理严重瓣膜疾病(多瓣膜病变、瓣膜严重钙化或畸形:介入器械无法适用、需要长期使用寿命);

冠状动脉旁路移植术(多支冠状动脉严重病变或不适合介入治疗);

复杂的心脏肿瘤(心房黏液瘤);

主动脉疾病的修复(复杂的主动脉瘤或夹层、伴有严重瓣膜疾病或其他心脏结构病变);

重建和修复复杂心脏结构(左心室瘤切除术、心脏破裂修复);

心外科与介入技术的联合应用(杂交手术)。