近日,苏州大学附属第四医院副院长周亚峰带领团队,联合DSA、重症监护室(ICU)、超声科、麻醉手术科,成功为一位急性心肌梗死合并腱索断裂导致二尖瓣重度反流的患者完成了急诊PCI+经皮二尖瓣钳夹一站式手术(TEER),成功挽救患者生命。
患者是一位年长男性,因突发胸闷胸痛、气喘、大汗淋漓经120急救送至我院,急查心电图提示患者急性心肌梗死,且床旁心超提示存在二尖瓣脱垂伴重度反流。

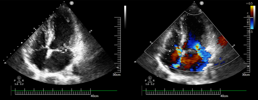
心超显示二尖瓣脱垂、反流明显
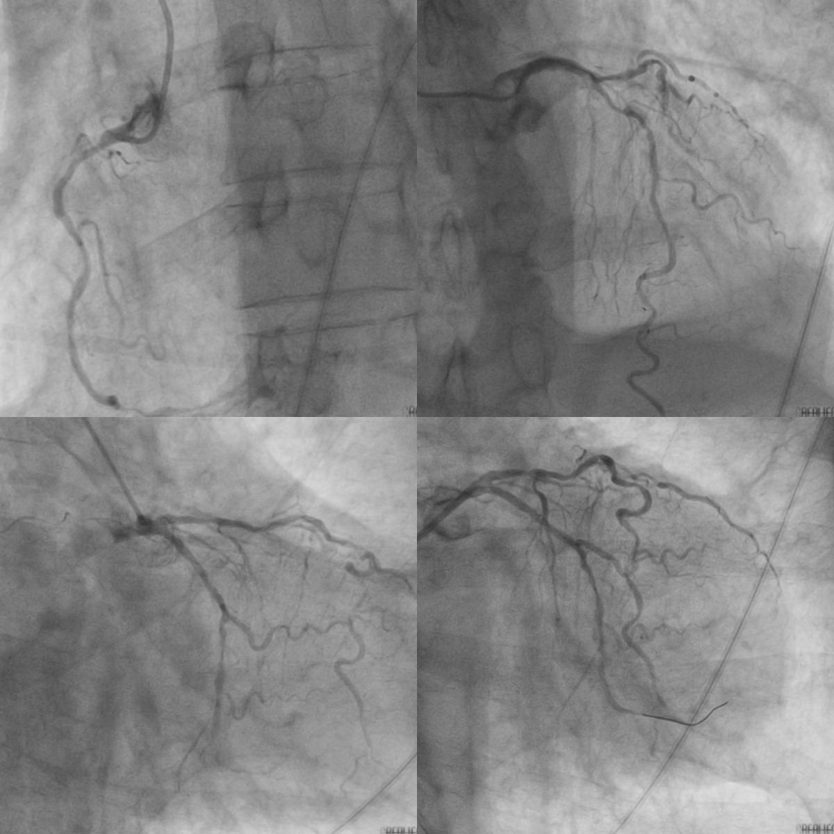
心内科会诊后紧急启动导管室,为患者行急诊PCI,术中提示患者三支病变,回旋支远段血管次全闭塞,考虑回旋支罪犯血管,迅速为患者行血运重建再灌注,主动脉球囊反搏(IABP)治疗。
冠脉造影
患者症状未有缓解迹象,仍然胸闷喘憋明显,血压和血氧饱和度进一步下降,周亚峰副院长、赵良平主任迅速评估,决定行急诊经皮二尖瓣钳夹术。该技术在心肌梗死后早期需要紧急干预的高危患者中,已经证明了其可行性和良好的疗效,然而风险极高。医生团队经与家属充分沟通取得信任,立即于全麻下行经皮二尖瓣钳夹术,术中经食道超声见该患者二尖瓣前叶整个A2 A3区完全脱垂,乳头肌收缩期甩入左房侧,二尖瓣极重度反流。术中为患者植入2枚二尖瓣夹(MitraClip),尽可能减轻了二尖瓣反流程度。术中即刻食道超声提示二尖瓣反流下降,肺静脉逆流消失,左房压LAP由术前43/15(24)mmHg降至23/14(17)mmHg。术后转入ICU进一步治疗,复查心脏彩超提示二尖瓣返流较前明显改善,继续主动脉内气囊反搏(IABP)1:1反搏改善后负荷、呼吸机辅助通气。

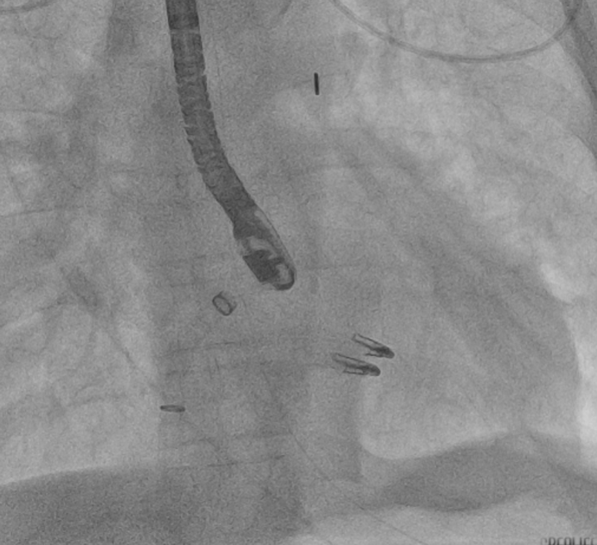
植入2枚二尖瓣夹
稳定了二尖瓣脱垂,患者生命体征逐渐平稳,呼吸机、IABP支持参数逐步下调,最终顺利撤离IABP和呼吸机。患者胸闷气喘明显缓解,尿量正常,转回普通病房继续治疗,并于日前顺利出院。
江苏省医学会心血管病学分会结构性心脏病学组组长,江苏省研究型医院学会结构性心脏病专委会副主任委员周亚峰教授介绍,急性心肌梗死致二尖瓣关闭不全是造成急性心肌梗死后早期死亡的主要原因,由于心梗以后所导致的二尖瓣关闭不全会明显的增加左心室舒张末容积,导致左心室负荷加重,二尖瓣关闭不全导致反流,就会出现心源性休克,死亡等可能。此类患者基本失去外科手术治疗机会,当面对此类患者时,医务工作者考虑不是如何改善心功能,而是尽最大努力提高患者生存率。
TEER术是一种基于外科缘对缘修补技术的经导管治疗术,对于二尖瓣关闭不全,TEER术无需开胸、创伤小、手术时间短、无需体外循环支持、手术安全性高、术后恢复快,可用于心功能严重受损、全身情况较差的高危患者。苏州大学附属第四医院顺利完成此类高危患者的TEER手术,标志着我院在急危重结构性心脏病领域的医疗能力又向前迈进了坚实的一步。