苏大附四院多学科协作成功挽救“心脏破裂”患者生命
来源:刘超生、蒋雨枫 发布时间:2025-02-24 14:01:00 浏览次数:4664

在心血管医学领域中,急性心肌梗死合并心脏破裂是一种起病急骤、进展迅猛,文献报道其院内死亡率高达90%以上的并发症。即使在具备高级生命支持条件的医学中心,成功救治案例仍属凤毛麟角。近日,苏州大学附属第四医院创造生命奇迹,成功将一位心脏破裂患者从死亡边缘拉回,同时,这也是我院在心血管急危重症救治领域实现的重大突破。

55岁的王先生因持续胸痛被紧急送入急诊室。心电图V1-V5 I aVL导联ST段抬高,肌钙蛋白飙升至正常值百倍以上,BNP突破2000pg/ml——所有指标都指向急性广泛前壁心肌梗死。更危急的情况是,患者入院后迅速出现血压崩溃、颈静脉怒张等循环衰竭征象,患者生命危在旦夕。

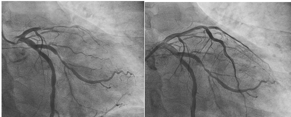
   周亚峰副院长带领的胸痛中心团队在10分钟内就完成术前准备并初步诊断患者是典型的前降支闭塞表现,必须立即开通血管。冠脉造影证实了猜想的最糟糕情况:左前降支中段完全闭塞,右冠脉多处重度狭窄。在主动脉球囊反搏支持下,介入团队精准操作,成功开通闭塞血管,植入药物涂层支架,为患者赢得一线生机。

正当团队对患者情况进行评估的过程中,监护仪刺耳的警报再次响起,患者血压突然下降且持续走低,超声探头下逐渐扩大的心包暗区指向患者此时正处在心肌梗死导致心室游离壁破裂的濒死状态。此时,心包积血每增加50ml,死亡率就攀升30%。心内科赵良平主任医师当机立断,在超声实时引导下完成心包穿刺,引流出血性液体300ml,心脏压塞危象才得以解除,再一次将患者从悬崖边拉回。

周亚峰副院长指出,心脏破裂患者能存活,需要同时具备三大要素:迅速的影像诊断、分钟级响应的多学科协作、个体化精准治疗策略。这场生命保卫战不仅展现了苏州大学附属第四医院在心血管急危重症领域的顶尖实力,也展示了医院多学科协作的团队精神,彰显了现代医学多学科协作的凝聚力和重要性。

   苏大附四院从急诊科、DSA室、重症医学科到麻醉科,每一个环节都紧密配合,为患者的生命保驾护航。面对心脏破裂后高达87%的继发血栓风险,医疗团队创新采用精准抗栓策略,既化解了左室血栓危机,又避免了致命性出血。历经23天生死博弈,患者的病情逐渐稳定,生命体征平稳,心功能明显改善。经过康复治疗,患者顺利出院。