小钳夹“心”希望——苏州大学附属第四医院成功完成多例经导管二尖瓣钳夹术
来源:章君毅 发布时间:2024-08-08 09:00:00 浏览次数:6077

近日,苏州大学附属第四医院副院长周亚峰与心血管内科赵良平主任团队运用经导管二尖瓣缘对缘修复系统(MitraClip)为四位患有二尖瓣重度反流的患者实施经导管缘对缘修复手术(TEER)。术后患者的二尖瓣反流和心功能均得到明显改善。该手术的顺利完成标志着苏大附四院心内科在瓣膜病微创介入治疗技术水平再上新台阶。

患者王阿姨因反复胸闷、气促来到我院就诊,经心脏彩超检查发现患者有二尖瓣重度反流病症。经强化药物治疗后,患者症状仍反复发作,且病情不断加重。医院心血管病团队立即组织超声科、麻醉科、心胸外科、介入及大血管外科等多学科团队对患者病情进行反复讨论:如果实行传统体外循环下的开胸手术风险高,患者很可能无法耐受。在充分评估患者病情及与家属沟通后决定采取目前较新的一种微创手术方式——经导管二尖瓣钳夹术。此手术不仅能快速解决患者二尖瓣重度关闭不全问题,且无需开刀,创伤小、恢复快。

在患者全麻状态下经股静脉置管、经食道超声(TEE)引导房间隔穿刺后置入导引鞘管,手术团队将夹合器精准送达二尖瓣反流区。在TEE及X线引导下,手术团队利用二尖瓣夹(Mitraclip)准确捕获二尖瓣叶,试夹闭后经过超声证实夹闭有效,释放成型夹。术后超声评估,二尖瓣口仅见轻微反流,反流情况明显改善,患者各项生理指标正常,Mitraclip手术高质量完成。患者于术后第3天顺利出院,出院前检查患者二尖瓣反流各项参数指标恢复都超出了预期效果。

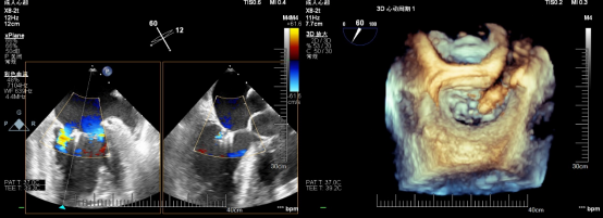
术前心超

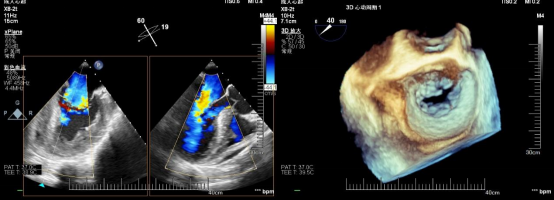
术后心超

心血管专家周亚峰副院长介绍,二尖瓣反流(Mitral Regurgitation,MR)是最常见的心脏瓣膜疾病之一,严重影响患者生命质量和生命安全。以往二尖瓣反流治疗的手段是心外科二尖瓣修复或人工瓣膜置换,但外科手术创伤大,并存在一定风险。患者往往因为心功能差、高龄、合并症多等高危因素而无法耐受外科开刀手术,使得很多高危重症患者未得到有效治疗。与传统治疗方式相比,二尖瓣钳夹术无需开刀,创伤小、安全性高,术中无需体外循环,术后恢复较快,短时间即可出院。该技术此次成功开展,开启了苏州大学附属第四医院二尖瓣微创介入治疗新领域,为二尖瓣重度反流患者提供了治疗新希望。目前我院心内科已常规开展经导管二尖瓣钳夹术,欢迎广大病友咨询就医。

 

什么是二尖瓣反流?

二尖瓣就像左心房和左心室之间的阀门,能确保心脏血流往正确的方向流动。二尖瓣关闭不全是心脏瓣膜疾病中常见的病变,是指二尖瓣组织结构发生异常,使得二尖瓣在心脏收缩期无法完全闭合。由于二尖瓣在左心室收缩时不能完全闭合,致使从左心房流入至左心室的血液又有一部分反流回左心房,从而导致咳嗽、呼吸困难、心悸等一系列心功能不全的症状,严重影响身体功能和生活质量。若不积极治疗,将增加患者心力衰竭、心律不齐、中风、甚至死亡等风险。

目前临床有药物和手术两种治疗方案。药物治疗可控制二尖瓣反流的症状,但不能治疗二尖瓣本身的损伤。手术治疗分为外科手术和微创介入手术。外科手术有开胸修补瓣膜或置换瓣膜,但对于心功能低下、高龄患者等而言,风险高、创伤大、恢复慢。此时,二尖瓣微创介入手术的优势就不言而喻了。

什么是二尖瓣钳夹术?

经导管二尖瓣钳夹术使用特制的二尖瓣夹合器,经股静脉进入,穿刺房间隔,进入左心房及左心室,在三维超声及DSA(数字减影血管造影)引导下,使用二尖瓣夹合器夹住二尖瓣前、后叶反流部位,使二尖瓣在收缩期由大的单孔变成小的双孔,从而明显减少二尖瓣反流,阻止心脏扩大,改善心功能。其治疗二尖瓣返流已被证实是一种无需开放式心脏手术的新型、微创、安全的治疗策略。

 

专家简介

 

周亚峰

心血管内科

简介:主任医师、教授、博士生导师,医学博士,副院长。

擅长:擅长心血管疾病的诊治,包括冠心病、心脏瓣膜病、先天性心脏病、高血压、心力衰竭和心律失常等, 每年独立完成心脏介入手术 800 余台。作为专家委员会成员参与制订多项有关高血压等疾病的中国指南或中国专家共识。

目前担任江苏省医学会心血管病学分会结构性心脏病学组组长、江苏省医学会心血管病学分会常务委员、江苏省医学会高血压分会候任主任委员、江苏省医学会心身医学分会双心学组副组长、中华医学会心血管病学分会高血压学组全国委员、中华医学会心身医学分会双心学组全国委员、中国医师协会心力衰竭专业委员会全国青年委员、中国中医药研究促进会中西医结合心脏疾病防治分会副会长、国家自然科学基金评审专家、江苏省首期专家和博士后服务团成员等多个学会任职。以第一作者和/或通讯作者发表SCI论文90余篇,参编专著3部,授权国家发明专利2项。被世界心脏联盟(WHF)和美国心脏协会(AHA)授予“WCC青年医师奖”,获江苏省科技进步奖一等奖等省部级及市厅级科技进步奖21项。主持科研项目30余项,在研科研经费2000余万,其中包括国家自然科学基金项目、江苏省自然科学基金项目、江苏省“科教兴卫”医学重点人才项目江苏省“333高层次人才工程”江苏省“六大人才高峰”项目、姑苏卫生领军人才项目、姑苏卫生重点人才项目、苏州市工业园区A类临床医学专家引进团队项目等。

专家门诊时间:周三上午、周五上午(高级专家门诊)

 

赵良平

心血管内科

简介:主任医师,副教授,医学博士,硕士生导师,科副主任。

擅长:冠心病、心脏瓣膜病、先天性心脏病、高血压病、心力衰竭、心律失常、肺动脉高压等心血管疾病的诊治,擅长心脏病的介入诊疗。

从事心内科临床、教学和科研工作20年,对心血管常见病、多发病、危重病、疑难杂症具有丰富的诊疗经验。擅长冠心病的介入诊疗、经导管主动脉瓣置换、经导管二尖瓣修复、右心导管术、二尖瓣球囊扩张、先天性心脏病的介入诊疗、血栓栓塞性肺高压经皮球囊肺动脉成形术、肥厚型心肌病的消融治疗、左心耳封堵术等。在国内外期刊发表学术论文50余篇,授权专利6项。担任中国医师协会心血管内科医师分会代谢性心血管病学组委员、中国医师协会睡眠医学专业委员会心血管病学组委员、中国中药协会心血管药物研究专业委员会委员、中国胸痛中心建设专家组成员、江苏省心脏康复中心联盟委员、江苏省医学会心血管病学分会结构学组委员、江苏省基层卫生协会心血管病专委会委员、苏州市医学会心血管病学专业委员会委员、苏州市医学会胸痛专业委员会委员等。

专家门诊时间:周一全天、周六上午