苏州市首例——术中磁共振指导下症状性颅内动脉狭窄支架植入术
来源:徐剑霞 发布时间:2024-06-13 09:11:00 浏览次数:7477
  近日,苏州大学附属第四医院神经内科介入团队顺利完成了苏州市首例术中磁共振指导下症状性颅内动脉狭窄支架植入术,这标志着我院神经介入治疗迈入科学化、精准化的时代。
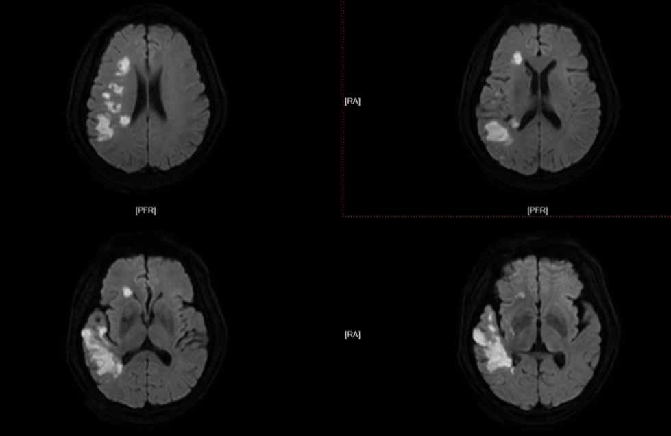
  患者为一名65岁男性,3月16日突发左侧肢体活动障碍,次日症状加重,并出现反应迟钝、言语不清、口角歪斜等新发症状后转至苏大附四院继续治疗。入院后CTA(CT血管造影术)检查提示右侧大脑中动脉水平段(R-M1)管腔完全闭塞,远段分支稀疏;CTP(脑灌注检查)则提示右侧额顶颞叶缺血性灌注异常;头颅MRI(核磁共振成像)见右侧岛叶、颞叶、右侧脑室旁及放射冠区急性脑梗死。综合检查结果,考虑到患者发病时间较长,与家属商议后予以强化内科治疗。
MRI:右侧岛叶、颞叶、右侧脑室旁及放射冠区急性脑梗死
CTA+CTP:右侧大脑中动脉水平段(R-M1)管腔完全闭塞;右侧额顶颞叶缺血性灌注异常
  因患者症状性颅内动脉闭塞/狭窄,责任血管供血区存在低灌注现象,住院期间进一步完善血管内治疗的术前评估筛选。
DSA:右侧大脑中动脉M1段管壁不规则溃疡斑块形成,局部重度狭窄
MRI平扫+增强:右侧大脑中动脉M1段远端不稳定斑块并管腔重度狭窄
  为进一步评估患者病情,明确患者下一步治疗方案,患者家属寻求苏大附四院脑卒中MDT多学科综合门诊的帮助。经会诊专家积极讨论,结合患者症状、血管情况、责任血管供血区低灌注以及侧支循环代偿不良等具体情况,在强化内科治疗的基础上,拟定发病3-4周后行血管内介入治疗。
  患者再次入院后,郝永岗教授等专家合作完成苏州市首例术中磁共振指导下的症状性颅内动脉狭窄支架植入术。此次手术充分利用我院复合手术室(DSA+MRI双杂交)的优势,有效提高了手术的安全性和有效性。术后即刻行MRI-PWI显示:责任血管供血区血流灌注较前明显改善,提示支架精准定位释放。
术前PWI:右侧岛叶、颞叶、右侧脑室旁及放射冠区CBF、CBV减低,MTT、TTP较对侧延长
术后DSA:右侧大脑中动脉未见明显残余狭窄,远端分支未见残端
术后PWI:右侧岛叶、颞叶、右侧脑室旁及放射冠区血流明显改善
  苏州大学附属第四医院是苏州地区最早建立血管造影系统平台+术中核磁杂交手术室的医疗单位。我院复合手术室配备行业技术前沿的血管造影系统平台和先进的3.0T术中磁共振(intraoperative MRI/iMRI),是江苏省最早使用的MRI-DSA复合手术室,实现一站式术前诊断、术后即刻评估,如果血流改善不明显可以马上进行后处理,如果有高灌注迹象,可加强血压控制。此项技术可明显降低手术风险和术后并发症。目前该技术已运用于我院的神经介入手术中,可实时判断血流通畅性及评估脑灌注情况,实时指导术者进行手术方案优化和及时更正,提高手术的安全性。
  本次苏州市首例术中MRI-PWI指导下的症状性颅内动脉狭窄支架植入术的顺利完成,标志着我院神经内科介入手术治疗达到了科学化、精准化的新高度。