“以小博大”——微创解决巨人烦恼
来源:季逸超 发布时间:2024-03-27 09:27:00 浏览次数:6006
  近日,苏州大学附属第四医院骨科姜为民主任团队成功运用单侧双通道内镜技术(UBE技术),为一名胸椎黄韧带骨化症的“巨人”患者实施了胸椎后路黄韧带骨化症切除术。
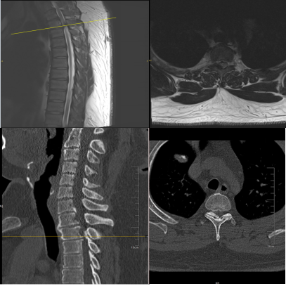
  来自上海的32岁的王先生,身高196cm,体重160kg,BMI高达41.6(正常BMI一般在18.5-23.9),是一位名副其实的“巨人”。尽管身形魁梧,王先生却是一位优秀的长号手,毕业于音乐学院,拥有不少跟随他学习乐器的学生。然而,近一个多月王先生感到双下肢麻木。两周前症状迅速加重,双下肢的乏力、行走不稳,只能拄拐行走,不得不暂停授课。听闻姜为民主任的医术了得,王先生慕名前来就诊。CT及MR检查结果显示,王先生上胸椎T2-3水平黄韧带骨化伴严重的胸椎管狭窄。
  胸椎黄韧带骨化症是一类高致残性的脊柱疾病,任其发展必然导致瘫痪,外科手术是唯一的治疗手段。但胸椎黄韧带骨化症的手术难度高、风险大,极易出现脊髓损伤和瘫痪,是脊柱外科中复杂程度最高、风险性最大的手术之一。同时,王先生体重重达160kg,背部脂肪组织较多,传统的开放手术需要切开长长的切口,穿越厚厚的脂肪层和肌肉层才能到达病灶,这无疑极大地增加了手术的难度与瘫痪的风险。即使手术成功切除了骨化的黄韧带,术后伤口也容易因脂肪液化而发生感染,导致愈合不良等并发症。鉴于王先生的病情,姜主任与科室同仁进行了深入的讨论与研究,最终决定采用先进的UBE内镜技术为王先生实施微创手术。
  术中,姜为民主任团队凭借精湛的技术,通过两个仅1cm的小切口成功置入了内镜。姜主任团队巧妙地利用内镜的放大作用,配合熟练的器械操作,克服了因患者身型带来的超长通道操作困难。
  经过近4个小时紧张而精细的手术操作,姜主任团队终于顺利完成了这例高难度的胸椎后路黄韧带骨化症切除术!
  术后复查胸椎CT显示,患者体内骨化块已完全切除,脊髓充分减压。考虑到患者体重较重且下肢肌力较弱,医生建议他暂缓下床行走。王先生下肢乏力的症状相较于术前已经有了明显的改善,他的脸上也露出了久违的笑容。术后仅4天,王先生便顺利出院,返回上海进一步休养。
  UBE技术,即单侧双通道脊柱内镜技术,是近年来发展起来的先进脊柱内镜技术,尤其适合用于治疗脊柱椎管狭窄,甚至有“为椎管狭窄而生”的美誉。目前,我院骨科已成功将UBE手术应用于颈椎、胸椎、腰椎的全脊柱领域。胸椎管和胸脊髓特殊的解剖和生理特点,使得胸椎手术相较于颈椎、腰椎手术难度更大、风险更高。因此,运用微创技术治疗胸椎椎管狭窄症需要极其精湛的手术技艺。我院骨科团队在这一领域已经积累了较为丰富的临床经验,在国内处于领先地位。未来,我院骨科将继续努力,致力于通过先进的内镜技术,让越来越多的患者从中受益。