反复发作低血糖,竟是腹内巨瘤作怪—— 多学科合作成功切除罕见巨大内分泌肿瘤
来源:李观强 发布时间:2024-03-19 09:32:00 浏览次数:6547
  今年59岁的王先生来自镇江,平素体格强壮、性情豪爽,本是家中的顶梁柱。但本来和谐幸福的家庭被王先生两年前的一次晕倒打破。2022年初,王先生因不明原因出现心慌、盗汗,随后陷入昏迷状态,被家人紧急送医院救治,检查发现严重低血糖,血糖最低只有1mmol/L!经补充糖水后好转。此后他又出现严重低血糖,抢救多次。为了找到低血糖昏迷的原因,多次来往医院检查,最终CT检查发现盆腔有个大肉瘤,足足有小孩子头那么大!经穿刺活检提示为低度恶性的梭形细胞瘤,而且具有内分泌功能,能够分泌胰岛素。医生推断该肉瘤是引起王先生低血糖昏迷的罪魁祸首。诊断书犹如晴天霹雳,让原本充满欢笑的家庭阴云密布。
  一开始,王先生还安慰自己“瘤子切掉就没事了”,带着一丝期望,他们找到上海某大医院专家手术治疗。但术中发现肿瘤巨大,与临近器官界限不清,表面血管密布,根本无法下刀切除,稍有不慎可能引发术中大出血而危及生命,因此不得不中止手术。此后,王先生仍时不时出现低血糖昏迷到医院急救,其家人带着王先生奔波于上海多家医院,均被告知风险过大而无法手术。绝望之余,王先生尝试接受了靶向治疗或化疗,力图缓解病情,但病情并未好转,仍频发低血糖昏迷,王先生一家陷入了深深的痛苦和绝望之中。
  今年春节后,王先生再次发作低血糖入当地医院急救。住院期间,医生认为只有切除肿瘤才是根本的出路,建议王先生前往苏州大学附属第四医院血管外科与介入科试试。近2年的求医经历让王先生明白,若不切除肿瘤,自己几乎没有生还余地,为此他抱着一线希望来到苏州大学附属第四医院。
术前隆起的肚子
  王先生住院后,医生们查阅他的各种影像资料后,均倒吸了一口凉气。王先生的肿瘤直径已达20多厘米,占据整个盆腔、周边紧压大血管和盆腔器官,手术切除犹如“虎口拔牙”,难度极大、风险极高,甚至可能引发大出血后死于手术台上。尽管王先生的家属早有心里准备,听完医生介绍病情后,看着饱受病痛折磨的父亲,家属与本人商量后,还是希望苏州大学附属第四医院的医生们能帮忙搏一搏。
 
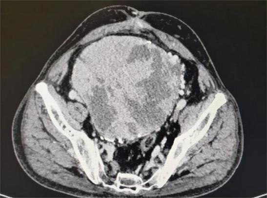
术前影像学:占位范围广、周围比邻多支神经血管
  面对患者强烈的求生愿望及家属期望的眼神,医生充分理解患者及家人的心情。经过我院血管外科与介入科张喜成主任、孙元主任医师、黄献琛主任医师及科内其他医生反复研究讨论,大家一致认为:肿瘤虽然巨大,但也并不是没有切除的可能。尽管风险高、压力大,但医者勇担责任的初心不能忘,因此我院血管外科与介入科团队决定尽最大努力争取一下。但如此复杂的盆腔肿瘤要完整切除,难度可想而知。我院血管外科与介入科邀请了麻醉手术科李健主任、重症医学科高建瓴主任、泌尿外科沈罡主任医师等多科室的医务人员,进行手术评估并制定了详细预案。
  在麻醉手术科和手术室护士团队的鼎力支持和密切配合下,手术如期进行。尽管已有一定的心理预期,但当打开腹腔的时候,巨大的肿物仍令在场的医护人员为之震惊。肿瘤范围大,界限不清、操作空间狭小,各种困难接踵而至。尤其肿瘤表面布满了“爬山虎”似的血管网,并与膀胱前列腺紧密粘在一起,每步操作都极易引发大出血。手术团队细心分离,历时4小时将约5斤重的盆腔巨瘤完整切除,并保住了王先生的膀胱、前列腺及肠道,避免了造瘘,提高了患者以后的生活质量。

手术过程以及完整分离的肿瘤

  术后,王先生的血糖很快就稳定了。他如释重负的说:“我终于能安心的睡觉,不怕再晕倒了。”经过血管外科与介入科医护人员的悉心照料,王先生术后恢复良好,不久后便顺利出院。
  血管外科与介入科张喜成主任表示:腹膜后肿瘤生长隐匿,早期不容易被发现,极少数情况下肿瘤甚至具有内分泌功能,一旦发现往往已经很大。因此,大家平时定期体检非常重要。如果王先生能够早期发现、尽早手术切除,病情也不会发展到如此危险的地步。因此,早发现、早干预、早治疗是治疗这类腹膜后肿瘤的关键之处。