精准快捷!肾盏憩室内结石清石达100%
来源:王庆刚 发布时间:2024-03-08 09:33:00 浏览次数:6172
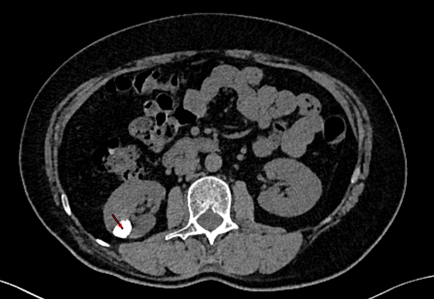
  一位来自江苏徐州刚刚退休的吴女士,被突如其来的腰痛和血尿扰乱了正常生活。经朋友介绍,吴女士来到了苏州大学附属第四医院(苏州市独墅湖医院)泌尿外科周守军主任医师的门诊。在完善腹部CT检查后发现,吴女士的右肾内多发结石,最大直径有2cm。结石对于吴女士来说并不陌生,15年前她就因右肾结石,在老家做了“肾实质切开取石术”,术后这些年也断断续续有小结石自行排出。
  周主任仔细阅片后,发现吴女士的结石并不简单。患者除了肾盏内一些多发的结石,还有一颗最大的结石位于肾盏憩室内,且非常靠近肾实质边缘,这正是引起腰痛和血尿的罪魁祸首。肾盏憩室是肾实质内的一个腔体,与肾盂、肾盏之间经过狭窄的通道相通,而这一憩室很有可能是吴女士15年前肾脏手术造成的。周主任在了解吴女士想一次性清除肾脏内所有结石的诉求后,决定收住入院,同时拟定安全可靠且清石率高的手术方式。
  在与院内多位专家沟通和探讨后,周主任决定采用输尿管软镜联合负压吸引鞘激光碎石。该方法在减少肾脏内压力的同时,还可以提高清石率。术中顺导丝放入可弯曲输尿管引导鞘至输尿管肾盂交界处,鞘内置入输尿管软镜,按序检查肾盂及上中下盏,右肾上盏内见多枚结石。此外,在下盏附近发现一个细小的开口,其内可隐约看到结石,这就是肾盏憩室内的那一颗结石。用200um钬激光光纤将上盏的结石击碎后,周主任巧妙地控制输尿管软镜进入憩室内,用激光将剩余结石击碎,并利用负压将所有结石残渣吸出,手术非常顺利。

  术后第二天吴女士就拔除了导尿管,体温正常,复查血、尿常规提示炎症指标都不高,同时,复查尿路平片发现结石清石率达到了100%,困扰了她许久的问题终于得到了解决。

术前术后尿路平片对比

  专家简介:
  周守军,苏州大学附属第四医院(苏州市独墅湖医院)泌尿外科主任医师,医学博士。从事泌尿外科工作20余年,临床经验丰富,全面掌握腹腔镜肾部分切除术、腹腔镜前列腺癌根治术、腹腔镜膀胱根治性切除+盆腔淋巴结清扫+原位新膀胱术;输尿管软镜碎石、经皮肾镜碎石取石术。在国家级医学刊物上公开发表论文近10篇,发表SCI论文2篇,主持省、市、区级课题3项。现任苏州市医学会泌尿外科分会青年委员,苏州市医学会泌尿外科分会泌尿系结石学组委员。