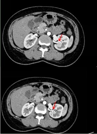
浦主任认真查看了李女士的CT图像:肿瘤大小约3.5*3.5*3.3cm,并不算大。然而肿瘤的位置较深,大部分埋于肾脏内,靠近肾盂和肾动脉,特别是肿瘤的上极紧贴两支肾动脉的分支。手术过程中一旦损伤动脉,很可能无法保留左肾,甚至可能引起大出血,危及生命。然而,直接进行左肾切除对于年轻的患者来说非常可惜。浦主任决定先将李女士收住入院,完善术前检查的同时组织科室内讨论,力争为患者制定安全可靠的保肾手术方案!
李女士入院以后,医生详细了解了她的病史。检查显示李女士的双侧肾脏功能良好,如果保肾手术成功,患者的获益很大。然而李女士体内肾肿瘤的RENAL评分为9分,RENAL评分越低则保肾的可能性越高,国际上认为RENAL评分>7分的患者更倾向于行根治性肾全切术。因此,浦金贤主任组织了科室内会诊,与多位主任一起对手术方案和步骤反复论证,充分预估手术过程中可能发生的意外情况,积极完善术前准备,也和患者及其家属进行了有效的沟通。
肿瘤上极毗邻肾动脉的两个分支
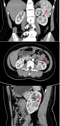
左肾肿瘤的冠状位、横断位、矢状位增强CT图像
手术当天,一切按照预定的手术方案稳步进行着。首先,浦主任及其团队成员分离了肾周组织,充分暴露出肿瘤所在位置,发现肿瘤仅有少部分凸出于肾脏。随后,浦主任将肾脏和肾动静脉充分游离,临时阻断肾动脉,沿着肿瘤边缘完整剜除肿瘤,过程中避开肾动脉分支。最后,缝合肾脏后解除血管阻断,发现肾脏血供良好,无活动性出血。手术过程平稳有序,肿瘤完整切除,术中出血不多。

术中视野及切除的肿瘤
李女士的手术后康复非常顺利,手术当天及术后第一天引流量均不超过50ml。术后一周拔除肾周引流管,手术创口愈合良好。术后病理提示:(左肾)透明细胞肾细胞癌,1级,切缘阴性。李女士术后复查肾功能及CT均正常,术后一周顺利出院。
疾病科普:早期肾癌可能没有任何症状,而典型肾癌三联征“腰痛、血尿、腹部包块”往往出现在晚期患者身上。要做到早发现、早诊断、早治疗,定期体检十分重要。越早手术,保存肾脏的可能性越大,手术风险越低,手术预后也越好。
专家简介:
浦金贤,苏州大学附属第四医院(苏州市独墅湖医院)泌尿外科科室主任,主任医师,教授,博士生导师。从事泌尿外科临床、教学和科研工作30余年,对肾肿瘤、膀胱肿瘤、肾上腺肿瘤、尿路结石、肾移植和前列腺疾病等泌尿系统疾病有着良好的诊断和治疗经验,多次获得白求恩杯先进个人奖。
曾获江苏省卫生厅新技术引进奖和苏州市科技进步奖,担任江苏省医学会泌尿外科分会副主任委员、男性泌尿学组组长,江苏省医师协会男科学分会副主任委员,苏州市泌尿外科学会副主任委员,苏州市男科学分会主任委员,苏州市医学会器官移植专业委员会主任委员。
其主持和主要参加了国家自然科学基金重点项目、江苏省卫生厅科研项目和苏州市科教兴卫项目等多项课题,以第一或通信作者发表核心期刊和SCI收录论文30余篇,参编专著2部。