我院胸心大血管外科成功完成一例高难度支气管袖式切除手术
来源:刘江江 发布时间:2025-09-01 09:45:29 浏览次数:2971

近日,我院胸心大血管外科马海涛主任团队成功为一名62岁男性患者实施“右上肺支气管袖式切除术”,精准切除了右肺主气管肿瘤并完成气道重建。患者术后恢复良好,已康复出院。

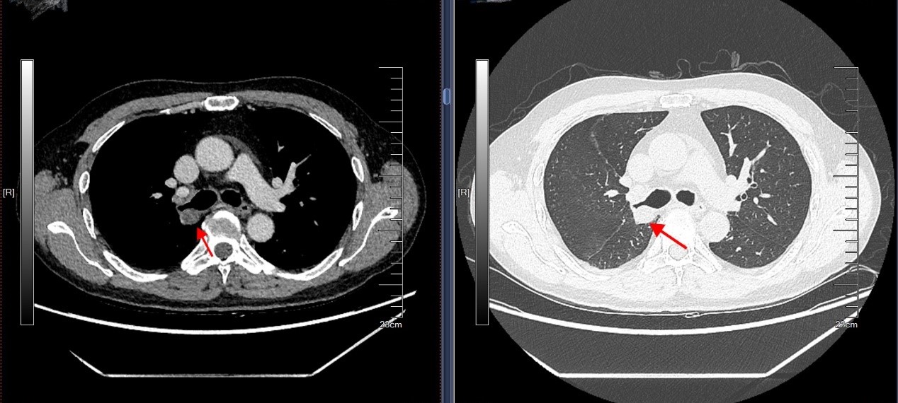
该患者因反复咳嗽、气促就诊,经CT及支气管镜检查,发现右肺主气管内有一约1.7cm的肿物,病理确诊为支气管低度恶性肿瘤。传统手术需切除整个右肺,但考虑到患者肺功能及生活质量,我院胸心大血管外科主任马海涛教授团队决定采用创伤更小的“支气管袖式切除术”——在完整切除肿瘤的同时,将健康支气管断端吻合,最大限度保留健康肺组织。手术历时3小时余,术中快速病理确认切缘无肿瘤残留。术后患者未出现并发症,肺功能恢复理想。

袖式切除是胸外科领域的高难度技术,对手术精准度和团队配合要求极高。该术式优势是既能根治肿瘤,又避免了全肺切除带来的长期影响。

气管肿瘤较为罕见,占所有肺部肿瘤的1%-2%,可分为原发性和转移性。原发性肿瘤中,良性(如软骨瘤)多见于儿童,恶性(如鳞癌、腺样囊性癌)好发于40岁以上人群,与吸烟、空气污染、遗传等因素相关。早期易被忽视,随肿瘤增大可能出现:刺激性干咳症状为最常见,易误诊为慢性支气管炎;肿瘤阻塞气管50%以上时出现呼吸困难,活动后加重;肿瘤表面血管破裂导致咯血;因气道阻塞引发感染致反复肺炎。

治疗手段包括:

1.手术切除:早期肿瘤首选,包括袖式切除(保肺)、全肺切除等;

2.放疗/化疗:对无法手术的恶性肿瘤或术后辅助治疗;

3.支气管镜介入:激光、冷冻或支架置入缓解梗阻。

专家提醒,长期咳嗽或气短患者应尽早行支气管镜检查,早诊早治可显著提升预后。目前,我院胸心大血管外科已常规开展胸腔镜、达芬奇机器人等微创技术,为复杂气管肿瘤患者提供个性化治疗方案。