国际神经外科医生集团专家于我院累计完成100例高难度颅脑手术
来源:荣孝慈 发布时间:2026-01-04 10:44:00 浏览次数:2935

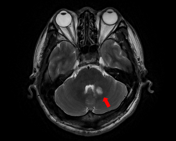
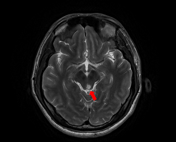
随着患者高先生颅内中脑左侧、左侧小脑两处病灶的顺利切除,国际神经外科医生集团专家已累计在苏大附四院完成了第100例高难手术。这标志着我院在神经外科国际化合作交流方面取得了里程碑式的成果,也为众多疑难脑肿瘤患者带来了新的希望。


百例手术见证精湛技艺

自苏州大学附属第四医院与国际神经外科医生集团签约合作以来,Bertalanffy(巴特朗菲)教授、Froelich(福洛里希)教授等专家已多次来院开展深度医疗合作。在手术室里,国际专家与我院神经外科团队紧密配合,针对脑干、丘脑、颅底等高难度区域的复杂肿瘤,实施了包括脑干海绵状血管瘤、颅底脑膜瘤、复杂胶质瘤等一系列高风险手术。百例手术,不仅是数字的积累,更是技术与信任的双重见证。

每一台手术,既是一次生命的救援,也是一场直观的教学。Bertalanffy教授在术中详细讲解解剖要点、手术入路选择、神经功能保护技巧与肿瘤切除策略,使我院年轻医生得以近距离学习世界顶级的手术理念与操作范式。这种“手术即教学”的模式,快速提升了我院神经外科团队处理疑难病例的综合能力。

青年医生旁观学习

术后查房

学术共享,共话神经外科未来

国际神经外科医生集团专家会参与我院的学术研讨会、科室病例讨论及专题讲座。与国内神经外科同行深入交流,分享他们在脑血管病、脑肿瘤、颅底外科等领域数十年的手术经验与思考,并就一些共同面临的临床难题展开探讨。

江苏省医学会神经外科颅底学组研讨会

这种高水平的学术互动,不仅拓宽了我院医生的国际视野,也促进了中外神经外科在理念与技术上的深度融合,为我院神经外科的持续发展注入了强劲动力。

国际化平台,助力学科跨越式发展

苏州大学附属第四医院始终坚持走国际化、高水平发展道路。通过江苏省卫生支撑计划及中德国际合作交流项目,医院成功搭建了高端国际医疗合作平台。在多个项目以及平台的带动下,我院神经外科团队已能独立开展脑干海绵状血管瘤、脊髓髓内肿瘤、复杂颅底肿瘤等以往被视为“手术禁区”的高难度手术,整体技术水平迈上新台阶。科室在疑难重症诊疗、微创手术应用、神经功能保护等方面形成了鲜明特色。

苏州大学附属第四医院将继续深化国际化发展,不断引进更多大师级专家与先进技术,持续强化神经外科等优势学科建设。我院神经外科团队也将不断攀登技术高峰,致力于为更多颅脑疾病患者点亮生命之光。