微创解“喘”疾,呼吸启新生——呼吸内科成功开展我院首例气管镜单向活瓣肺减容术
来源:王兰 发布时间:2026-03-31 09:26:00 浏览次数:1400

近日,苏州大学附属第四医院呼吸内科在蒋军红主任的带领下,完成首例经支气管镜单向活瓣肺减容术,为一名77岁重度异质性肺气肿患者精准解除呼吸困境,标志着我院在慢阻肺微创介入治疗领域迈入全新阶段,为苏城及周边地区重度肺气肿患者开启了微创、高效、安全的治疗新时代。

病例纪实:肺气肿困扰七旬老人多年

现年77岁的陈大爷,有长期吸烟史,被确诊为慢性阻塞性肺疾病,虽有坚持规律使用布地格福等药物治疗,但近年来病情逐渐加重,稍微活动即气喘明显,长期依赖家庭氧疗,生活质量急剧下降。

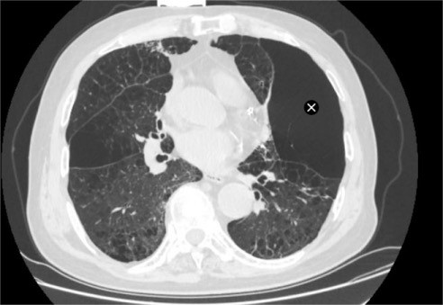
家属带着陈大爷辗转求医,来到苏州大学附属第四医院呼吸内科蒋军红主任门诊就诊。完善胸部CT检查后显示,陈大爷患有异质性肺气肿,肺部病变区域分布极不均衡,部分肺叶过度充气、丧失正常通气功能,形成“无效通气腔”,进一步加重了正常肺组织的负担,这也是他经药物治疗后仍无法缓解症状的核心原因。

蒋军红主任带领团队立即对陈大爷进行全面、细致的多学科评估,详细分析其肺功能、胸部影像学特征、心肺耐受能力及基础疾病情况,精准判断病变肺叶位置与功能状态。团队充分评估传统内科治疗、外科开胸肺减容手术的利弊,结合患者高龄、身体耐受度差的实际情况,与患者及家属进行深入沟通,细致讲解手术原理、优势与预期效果,最终确定为陈大爷实施经支气管镜单向活瓣肺减容术这一微创介入治疗方案。

手术当天,蒋军红主任和曾大雄主任密切配合,用时30分钟便顺利完成手术。手术通过微创支气管镜介入,在高清内镜视野下,精准定位病变最严重的靶肺叶支气管,精准植入一枚微型支气管内活瓣(EBV-TS-5.5),术中实时验证活瓣开合状态良好,通气单向引流功能正常。

术后,陈大爷无明显不适症状,胸闷气喘症状即刻得到缓解,恢复速度远超预期,很快便能下床进行轻微活动,第二天复查胸片无气胸等并发症。家属激动地表示:“没想到不用开刀就能明显好转,呼吸明显顺畅了,真的太感谢了!”


气管镜单向活瓣肺减容术,微创“给肺减肥”

经支气管镜单向活瓣肺减容术(EBV),是目前国际上治疗重度异质性肺气肿的前沿微创介入技术,也是介入肺脏病学领域的标志性技术之一。

该技术的核心原理十分精妙:通过支气管镜将特制的微型单向活瓣,精准植入过度充气、丧失功能的病变肺叶支气管内,这个微型活瓣具备“只出不进”的独特功能——吸气时活瓣自动关闭,阻止外界气体进入病变废用肺叶;呼气时活瓣自动打开,让病变肺叶内残留的气体和分泌物顺利排出,从而促使靶肺组织逐渐萎陷、不张,达到肺减容的目的。

相比传统治疗,该技术具备创伤小、风险低、疗效确切、手术快捷等优势。全程经支气管镜介入,体表无切口、无出血,无需全麻气管插管,避免了传统肺减容手术的创伤,对高龄、体弱患者也能耐受。术前精准定位病变肺叶,术中精准植入活瓣,只针对无效病变区域治疗,最大程度保留健康肺组织,治疗针对性极强。单台手术操作时长通常30-60分钟,术后住院时间短,患者当天即可下床活动,快速回归正常生活。单向活瓣为可取出装置,若后续病情变化,可通过支气管镜再次调整或取出,无永久性肺组织损伤。

该术种的适用范围:确诊为重度/极重度慢性阻塞性肺疾病(GOLD 3-4级),合并异质性肺气肿(肺部病变分布不均,有明确过度充气的靶肺叶);长期规范吸入药物治疗后,仍存在明显胸闷、气喘、呼吸困难症状,活动耐量极差,日常活动受限;胸部CT提示叶间裂完整,病变肺叶与健康肺叶分界清晰,无明显侧支通气。


三大核心技术支柱,保障EBV手术高效实施

此次首例气管镜单向活瓣肺减容术的顺利开展,凝聚苏州大学附属第四医院呼吸内科团队多年技术沉淀、精准诊疗理念、多学科协作的发展结果,核心依托三大坚实支柱,保障手术安全高效完成:

1.精准术前评估体系,严把手术准入关

该手术并非适用于所有肺气肿患者,精准筛选适宜人群是手术成功的前提。我院团队建立完善的术前评估流程,结合胸部高分辨率CT、肺功能检查、心肺功能评估、叶间裂完整性检测等多项检查,精准判断患者是否为异质性肺气肿,以及病变肺叶位置、肺功能损伤程度。为进一步优化手术方案、规避潜在风险,保障高龄患者手术安全,团队牵头组织术前MDT联合讨论,围绕患者病情、手术适应症、术中风险防控、术后康复方案等核心问题深入研讨、综合研判。

2.介入技术团队出色,硬核操作保驾护航

手术由蒋军红主任领衔的团队操作,其成员具备丰富的呼吸介入诊疗经验,熟练掌握各类支气管镜下微创操作技术,对内镜下精准定位、活瓣植入角度、深度把控等核心操作娴熟于心。术中全程实时监测患者生命体征,精准调整操作细节,确保活瓣植入位置精准、开合功能正常,最大限度规避手术风险。

3.全程精细化诊疗管理,贯穿术前术后

从术前病情评估、医患沟通、方案制定,到术中精准操作、生命体征监护,再到术后病情观察、康复指导、随访管理,我院推行全程精细化诊疗模式。术后专人跟踪患者恢复情况,制定个性化康复与用药方案,定期复查肺功能与活瓣状态,形成“评估-手术-康复-随访”的闭环管理,保障术后长期疗效。


技术赋能诊疗,守护呼吸健康

陈大爷的顺利恢复,是苏州大学附属第四医院呼吸内科团队技术实力、深耕呼吸疾病诊疗领域的缩影,更是我院坚持“以患者为中心”,推动现代微创介入技术与规范化内科治疗深度融合的有力体现。

长期以来,我院呼吸内科聚焦慢阻肺、哮喘、肺部肿瘤等常见及疑难呼吸疾病,不断引进前沿诊疗技术,打造集精准诊断、微创介入、药物治疗、康复管理于一体的全流程诊疗体系。此次首例气管镜单向活瓣肺减容术的成功开展,不仅填补了我院在重度肺气肿微创介入治疗领域的技术空白,更为苏城及周边地区众多被困扰的重度肺气肿患者,带来了无需开胸、高效安全的治疗新选择,让更多高龄、体弱患者重获顺畅呼吸,重拾生活信心。