ARTIS pheno 复合手术室在神经介入中的应用
我院是苏州地区最早引进ARTIS pheno复合手术室最高端设备的医疗单位。Artis Pheno 平台是目前处于行业技术前沿的血管造影系统平台,是现代技术与临床医学的完美结合,是一次影像技术革命,代表了未来血管造影系统前进的方向。
一、 ARTIS pheno血管造影系统介绍
2018年,复合手术室在国内陆续启动并投入使用,其各种类型采集速度更快,图像更清晰,细节更丰富,剂量更低,临床功能更多的优势,使其成为复合手术室的上上之选。
1.更低剂量造影剂:ARTIS pheno血管造影系统搭载超微剂量全尺寸30x38cm“晶体硅”平板探测器,低至1nGy的可成像剂量,只有传统剂量的十分之一,使用ARTIS pheno血管造影系统,一年的累积剂量仅相当于以往一个月。它快速的高分辨率DynaCT采集速率。大于90f/s的平板刷新率率可以实现6S神经高分辨DynaCT的采集。较传统的类CT采集速率提高68%。在减少由于呼吸运动带来的影像质量影响的同时,更可以减少造影剂的摄入。
2.CLEARmatch矢量精配:实时像素位移修正技术,能够有效解决在DSA和路图功能中病人移动造成的图像问题。即使在病人出现明显移动机或旋转体位的情况下,依然可以获得锐利的图像,帮助医生更好的完成手术。
二、ARTIS pheno在神经外科的高级临床应用
血管造影机器人作为复合手术室中,人类能够做到的科技智能化的极致,为最复杂、高风险的神经外科神经血管疾病、神经急症、神经肿瘤外科、联合内镜切除、颌面部肿瘤等领域打造临床、科研整体解决方案。
1.神经血管疾病
DynaCT双容积成像可以对不同容积影像如支架、弹簧圈、血管等同时显示,指导医生对支架释放、治疗预后进行评估。
血管,介入材料,骨骼的双容积成像,分辨三维空间中的位置关系,以及动静脉双血管的融合。
syngo Dyna4D展示特定时间点上的3D图像,对于脑血管畸形、血管瘤、动静脉瘘的结构、位置,并测量尺寸、分析供血动脉和引流静脉等。
神经及灌注成像PBV显示组织血容量灌注信息的功能学影像,并根据彩色 编码进行量化,病人无需转运到CT室就能得到病灶完整的灌注信息。
彩色血流编码iFlow基于DSA造影序列一键式生成彩色编码图像,直观且量化的显示血流动力学信息,如造影剂达峰时间等。通过血流达峰时间定量分析对术前术后疗效进行评估。

2. 神经急诊外科
脑室引流通过DynaCT准确定位,将脑脊液引流管准确放置大脑内用于治疗脑积水、颅压升高、出血等外伤急症,避免误放引流管导致的二次外科手术。
syngo DynaCT micro智能显示超精细结构,空间分辨率提高40%,可以观察0.1mm的结构。如图DynaCT micro观察眶底骨折植入钛网重建术,即时评估钛网植入位置。
3. 颌面部肿瘤
颌面部血管瘤栓塞术,额面部血管瘤具有复杂迂曲的血供,DynaCT增强扫描帮助鉴别滋养血管,功能学影像Dyna PBV Neuro为瘤体栓塞终点做精准评估。
4. 神经肿瘤/联合内镜切除
面对复杂的脑肿瘤手术,需要磁共振为基础的影像在术中进行引导,ARTIS pheno融合图像可以满足复杂的手术过程。从胶质瘤开颅切除的术前规划到内镜下垂体瘤切除术的手术路径引导。

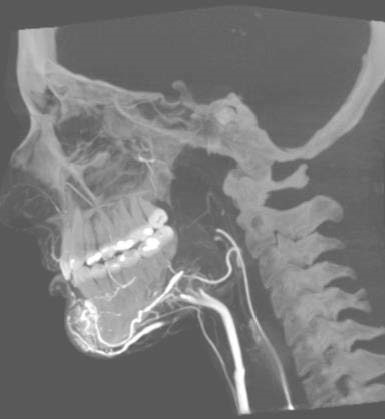
目前神经内科神经介入团队运用DSA手术室常规开展脑卒中急救技术,比如:DSA全脑血管造影术、动脉溶栓、取栓术、(颈动脉、椎动脉、锁骨下动脉)血管成形支架置入术。
术中MR的简介和使用
一、磁共振成像
磁共振成像(Magnetic Resonance Imaging,简称MRI),是利用核磁共振(nuclear magnetic resonance,简称NMR)原理,依据所释放的能量在物质内部不同结构环境中不同的衰减,通过外加梯度磁场检测所发射出的电磁波,即可得知构成这一物体原子核的位置和种类,据此可以绘制成物体内部的结构图像。将这种技术用于人体内部结构的成像,就产生出一种革命性的医学诊断工具,极大地推动了医学、神经生理学和认知神经科学的迅速发展。
2003年美国化学家Lauterbur和英国物理学家Mansfield,因磁共振成像(magnetic resonance imaging, MRI)技术的突破性成就被授予诺贝尔生理学或医学奖。这也是磁共振专题研究迄今获得的第6个诺贝尔奖。目前临床应用型MRI主磁体已从最初的0.015 Tesla(T)发展到3.0T,实验用MRI则可达7.0T。MRI由于具有高度的软组织对比、精确的空间和时间分辨力、任意平面三维成像能力、对流动及温度的敏感性、脑功能成像和无电离辐射等优势,成为神经导航手术的首选参考影像。
术中磁共振(intraoperative MRI,简称iMRI)指术前、术中和术后均可进行MRI扫描,采集图像和图像处理,而且可进行真正实时导航手术,它是神经导航外科向更高层次的发展,是九十年代中后期神经外科领域里的一项重大技术革命。开放式MRI的出现,使术中“实时”(real-time)成像成为可能。随着磁体和扫描机的基础设计的不断创新,MRI系统成功进入神经外科手术室。iMRI彻底改变了传统神经外科手术中医生凭主观经验指导手术进程、判断手术结果的现状。它与神经导航系统的结合显著提高了手术的精确性与安全性,被誉为神经外科发展史上的里程碑。目前,欧美仅有少数大的神经外科中心拥有该设备。国内仅北上广等少数大的医学中心拥有该设备。
1.iMRI在神经外科手术中的应用
在神经外科手术中,尤其是脑胶质瘤、巨大垂体瘤、脑血管搭桥手术、功能神经外科以及脑内定向穿刺活检手术等,iMRI导航得到了广泛应用。iMRI具有下列优点:⑴实时影像导航手术,提高肿瘤切除率。⑵术中脑功能成像,可以有助于降低术后偏瘫、失语等神经功能障碍发生率。⑶为立体定向穿刺、活检、植入等手术提供实时引导和精确定位。⑷术中发现某些隐匿或早期并发症,如脑缺血及出血等。
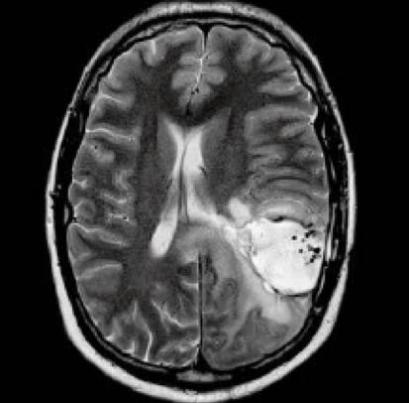
(1)胶质瘤手术:胶质瘤的理想手术方案是全切肿瘤并保留正常脑功能,但实际手术中很难做到这一点。尤其是肿瘤位于重要功能区(中央区及顶叶、丘脑、岛叶等)时,当神经外科医生视觉判断脑胶质瘤已全切时,仍有病例有肿瘤残余。即使应用常规神经导航,也有近1/3病例发生肿瘤残留。切除程度是胶质瘤最主要的预后相关因素之一。术中最大限度减少瘤负荷,不仅有利于后续规范化综合治疗,而且能延长肿瘤无进展期与生存时间。对于脑胶质瘤,iMRI可以实时、精确、定量地监控手术切除范围,是当前脑胶质瘤显微手术的最高科技,其远期临床疗效已得到国际医学界肯定。(2)垂体大腺瘤:采用iMRI引导神经内镜下经鼻-蝶切除术。高场强iMRI能够即时反馈肿瘤切除范围,并显示邻近海绵窦、颈内动脉、视交叉及下丘脑等重要结构,对侵袭到海绵窦内的肿瘤可以在术中及时发现,提高手术全切率和精确性以及安全性。
(3)脑血管病手术,如海绵状血管瘤、脑动静脉畸形等,有部分位于深部,且肿瘤微小,应用iMRI,结合术中实时导航,可有效解决病变漂移,精确定位病变。
(4)脑功能性疾病手术(帕金森病DBS植入、无框架导航射频毁损术等)及脑部病变活检等。iMRI使得穿刺靶点从“看不见”变成“看得见”,由此提高脑部病变活检的确诊率,减少术后并发症。
(5)激光间质热疗技术。激光间质热疗(LITT)是立体定向引导下的一种经皮微创手术,激光通过光纤作用于靶点,从而选择性地消融病变组织。该技术最大的特色在于,可以在术中磁共振的实时引导和监测下,实现对脑深部病变的精准消融治疗,达到激光光纤精准定位和实时控制靶点温度。对于邻近脑功能区、位置深、体积小的肿瘤或癫痫灶是合理的治疗选择,比如多发的脑内转移瘤,脑胶质瘤,颞叶内侧型癫痫、海马硬化、下丘脑错构瘤、皮质发育不良等。